Oncotarget


Oncotarget | Preclinical activity of sacituzumab govitecan (IMMU-132) in uterine and ovarian carcinosarcomas


FOR IMMEDIATE RELEASE
2020-02-11

Oncotarget Volume 11, Issue 5: Trop-2 expression was evaluated in 10 formalin-fixed-paraffined-embedded CS by immunohistochemistry and 9 primary CS cell-lines by flow-cytometry.

One Trop-2 low/negative and two Trop-2 positive cell-lines were tested in cell-viability assays.

Trop-2 positive cell-lines showed higher sensitivity to SG in vitro when compared to Trop-2 low/negative cell lines.

Dr. Alessandro D. Santin from the Department of Obstetrics, Gynecology and Reproductive Sciences at Yale University School of Medicine in New Haven Connecticut, USA said in their Oncotarget paper, "Carcinosarcomas (CS), also known as mixed malignant Mullerian tumors (MMMT), account for less than 5% of all gynecologic cancers."

"Carcinosarcomas (CS), also known as mixed malignant Mullerian tumors (MMMT), account for less than 5% of all gynecologic cancers."

- Dr. Alessandro D. Santin, Department of Obstetrics, Gynecology and Reproductive Sciences at Yale University School of Medicine

Non-cleavable linkers manifest anti-tumor activity only after internalization while ADCs with cleavable linkers can kill not only the antigen-positive target cells but also the surrounding antigen-negative cells and they, therefore, are more suitable for the treatment of tumors with heterogeneous antigen expression.

Notably, Trop-2 is highly expressed on the surface of many epithelial tumors when compared to normal cells, and this feature makes Trop-2 an excellent target for ADCs.

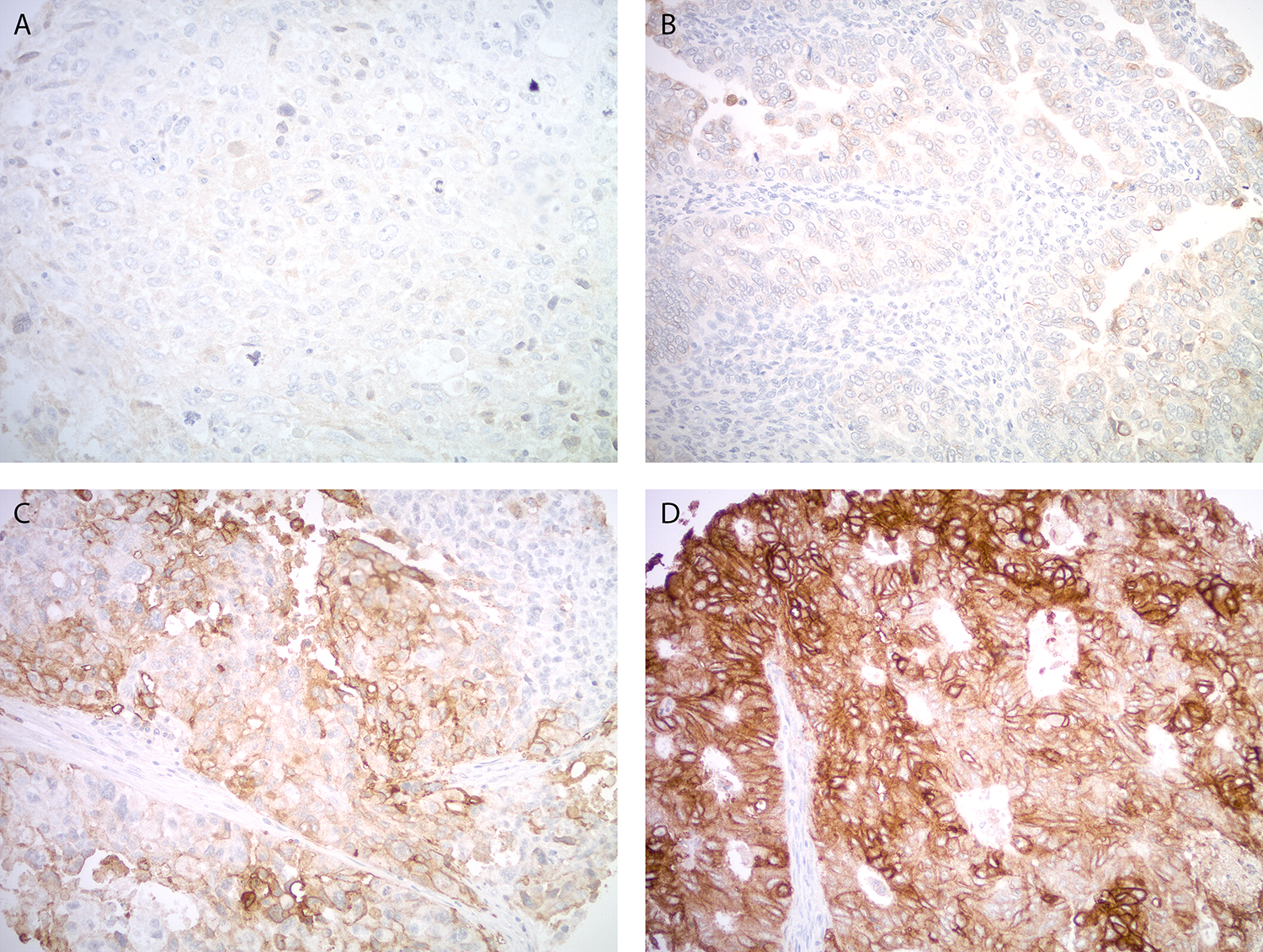
Figure 1: Trop-2 expression by immunohistochemistry in uterine carcinosarcoma.

Figure 1: Trop-2 expression by immunohistochemistry in uterine carcinosarcoma. Representative images from the tissue microarray show no Trop-2 immunostaining (A), weak focal (B), moderate focal (C) and strong diffuse (D) Trop-2 expression in the carcinoma components. All images at 200x original magnification.

Trop-2 overexpression among uterine cancers has been previously reported as high as 96% in endometrioid endometrial cancers and 65% in uterine serous carcinoma.

Recently, there have been multiple clinical trials in a variety of advanced solid cancers including breast, urothelial cancer, small cell lung cancer and non-small cell lung cancer that have shown encouraging the therapeutic activity of SG.

The objective of this study was to evaluate the expression of Trop-2 in CS tissues and primary CS cell lines and to examine the preclinical anti-tumor activity of SG in vitro and in vivo against multiple primary CS models and xenografts.

The Yale Research Team concluded that the results of their Oncotarget paper demonstrate,

  1. "Trop-2 is overexpressed in ~ 33% of CS,
  2. Primary CS cell lines overexpressing Trop-2 are highly susceptible to killing in vitro by SG,
  3. SG in the presence of effector cells (NK cells) may induce significant ADCC against Trop-2 positive CS cells,
  4. SG demonstrated a significant bystander killing effect, which could aid in treating tumors with heterogeneous antigen expression such as CS, and
  5. SG is highly effective in Trop-2+ CS xenografts. These preclinical results combined with recent phase II data demonstrating significant clinical responses in multiple solid tumors resistant to chemotherapy, strongly support the design of clinical trials in Trop-2 positive recurrent CS patients."

Sign up for free Altmetric alerts about this article

Full text - https://doi.org/10.18632/oncotarget.27342

Correspondence to - Alessandro D. Santin - [email protected]

Keywords - sacituzumab govitecan, IMMU-132, uterine carcinosarcoma, trop-2

About Oncotarget

Oncotarget is a biweekly, peer-reviewed, open access biomedical journal covering research on all aspects of oncology.

To learn more about Oncotarget, please visit https://www.oncotarget.com or connect with:

SoundCloud - https://soundcloud.com/oncotarget
Facebook - https://www.facebook.com/Oncotarget/
Twitter - https://twitter.com/oncotarget
LinkedIn - https://www.linkedin.com/company/oncotarget
Pinterest - https://www.pinterest.com/oncotarget/
Reddit - https://www.reddit.com/user/Oncotarget/

Oncotarget is published by Impact Journals, LLC please visit https://www.impactjournals.com/ or connect with @ImpactJrnls

Media Contact
[email protected]
18009220957x105



Copyright © 2026 Rapamycin Press LLC dba Impact Journals
Oncotarget ® is a registered trademark of Rapamycin Press LLC
Impact Journals ® is a registered trademark of Rapamycin Press LLC
RAPAMYCIN PRESS ® is a registered trademark of Rapamycin Press LLC