Oncotarget

Research Papers:

Exceptional responders to immunotherapy in pancreatic cancer: A multi-institutional case series of a rare occurrence

PDF  |  Full Text  |  Supplementary Files  |  How to cite  |  Press Release

Oncotarget. 2025; 16:427-442. https://doi.org/10.18632/oncotarget.28739

Metrics: PDF 2410 views  |  Full Text 11602 views

Kavin Sugumar1, Andrew Alabd2, Andre Alabd3, Jonathan J. Hue1, Josh Lyons1, Sherri Fields4, Zev Wainberg4, Lei Zheng5, Brianna Coogle6, Anup Kasi6, Nicholas Grewal7, Hedy L. Kindler7, Jason Starr8, Ashwin R. Sama9 and Jordan M. Winter1

1 Department of Surgery, University Hospitals Seidman Cancer Center, Cleveland, OH 44106, USA

2 Department of Medicine, Cooper University Healthcare, Camden, NJ 08103, USA

3 Department of Urology, University of Indiana, Indianapolis, IN 46227, USA

4 Department of Medicine, UCLA/Santa Monica Cancer Center, CA 90404, USA

5 Department of Medicine, Johns Hopkins University, Baltimore, MD 21218, USA

6 Department of Medicine, University of Kansas Medical Center, Kansas City, KS 66103, USA

7 Department of Medicine, University of Chicago, Chicago, IL 60637, USA

8 Department of Medicine, Mayo Clinic, Jacksonville, FL 32224, USA

9 Department of Medicine, Jefferson Medical Oncology Associates, Philadelphia, PA 19107, USA

Correspondence to:

Jordan M. Winter, email: [email protected]

Keywords: pancreatic adenocarcinoma; immunotherapy; exceptional responders; microsatellite instability; survival

Received: December 18, 2024     Accepted: May 17, 2025     Published: June 10, 2025

Copyright: © 2025 Sugumar et al. This is an open access article distributed under the terms of the Creative Commons Attribution License (CC BY 4.0), which permits unrestricted use, distribution, and reproduction in any medium, provided the original author and source are credited.

ABSTRACT

Introduction: Immunotherapy has emerged as a standard treatment option for multiple solid tumors. However, most patients with pancreatic cancer (PC) do not derive a significant benefit. Identification and analyses of exceptional responders could eventually offer hints as to why PC is resistant to immunotherapy.

Methods: Oncologists from cancer centers in the United States were contacted to identify patients with PC who responded to immunotherapy. Exceptional responders were defined as those having either partial (PR) or complete response (CR) based on Response Evaluation Criteria in Solid Tumors, or biochemical response (CA 19-9 levels) after starting immunotherapy. Patients receiving concurrent chemotherapy were excluded.

Results: 14 patients met inclusion criteria. Immunotherapy drugs included checkpoint inhibitors and macrophage inhibitors. Eight patients (42%) were MSI (microsatellite instability)-high. Radiologically, 82% had PR. Four patients (28%) had marked reduction in CA 19-9. The median progression-free survival was 12 months from the start of immunotherapy. Median survival was not reached. The 1- and 2-year survival probabilities were 80%, 70% respectively.

Conclusion: Majority of clinical trials evaluating immunotherapy in PC have yielded disappointing response rates compared to other solid tumors. Our case series adds to published data from early-phase trials supporting the promise of immunotherapy in some patients with PC.

Introduction

Pancreatic cancer (PC) is one of the most aggressive malignancies, with a 5-year survival rate of 13% among all-comers, and just 3% for patients with metastatic disease [1]. It is the third most common cause of cancer-related death in the Unites States, with 50,550 deaths reported in 2023, but is nearing colon cancer with the potential to become the second leading cause [2]. At diagnosis, only 20% and 3% of pancreatic ductal adenocarcinoma (PDAC) in the head and tail of the pancreas are considered candidates for resection, respectively, suggesting that a minority of patients have a substantial probability for long-term survival [3, 4]. The last several decades of research and investments of several billion dollars have failed to move the needle in the treatment paradigm or survival outcomes. Multiagent chemotherapy remains the standard of care for advanced pancreatic cancer [5], and these treatments offer a median survival under one year [6]. While mutation-targeted therapies have improved outcomes for many cancer types, PARP (poly (adenosine diphosphate-ribose) polymerase) inhibition is the only immunotherapy used routinely for PC. However, olaparib yields a modest progression-free survival benefit, without an overall survival benefit, and is indicated for only a minority of patients with BRCA-mutant tumors (<10% of all PC patients) [7].

Advances in immuno-oncology have led to a paradigm shift in the care of many cancer patients. Several immunotherapy drugs including those that block programmed cell death 1 ligand (PD-1), programmed cell death ligand 1(PD-L1), and cytotoxic T lymphocyte-associated protein 4 (CTLA-4) are now indicated as first- or second-line therapy for many solid tumors including melanoma, non-small cell lung cancer, bladder cancer, and renal cell cancer among others [8]. This has led to an increasing interest in evaluating immunotherapy for PC. Indeed, nearly one-third of all active therapy interventional clinical trials in PC are investigating immunotherapeutics (more than 100 in total) [9]. Yet, there has been no evidence that these drugs work against the majority of pancreatic cancers. At present, pembrolizumab, a PD-1 checkpoint inhibitor, is Food and Drug Administration (FDA) approved for treatment of patients with solid tumors that exhibit deficient mismatch repair (dMMR) status and/or high tumor mutational burden (i.e., TMB ≥10 mut/Mb) and/or high microsatellite instability (MSI-H), and who have demonstrated progression of disease with conventional therapy [10, 11]. However, this subset of patient comprises just 1–2% of all PDAC [12].

Despite promising results of immunotherapy in other cancer types, published clinical trials reveal that single agent immunotherapy with checkpoint inhibitors are ineffective against PC [1315], and outcomes with patients harboring mutations in mismatch repair genes is sparse due to the rarity of the genetic abnormality. Resistance to immunotherapy has been attributed to poor intrinsic antigenicity, defective antigen presentation, an immunosuppressive microenvironment, and suppression of immune cells by PC tumor cells. Nearly 50% of the tumor microenvironment (TME) is comprised of immune cells, but the TME is enriched with myeloid-derived suppressor (MDSC) and regulatory T cells (Treg), which create immune tolerance or escape [16, 17]. To improve patient selection for immunotherapy, several biomarkers have been investigated to predict response to therapy in PC, however none have proven sufficiently effective to warrant routine clinical use [18].

Few case reports of exceptional responders exist [1921] and most trials to date have combined immunotherapeutics with conventional chemotherapy, which confound the interpretation of treatment response. In this report we take assemble data from patients across institutions to organize the collective experience of exceptional responders to immunotherapy. Despite its small size, this cohort is larger than previously reported studies, which can provide valuable insights into patterns of pertinent variables and long-term outcomes. This can yield clues into what separates this group apart from other patients with PC [18].

Results

Patient characteristics

Between 2020–21, 471 oncologists from 91 major cancer centers in the United States were contacted (Figure 1). 109 oncologists responded from 55 cancer centers, of which 20 oncologists reported having treated patients who showed an exceptional response. A total of 24 patients were identified from 6 centers, of which 8 patients were excluded due to lack of verified radiological or biochemical response to immunotherapy on further review. Two patients were excluded due to concurrent therapy with chemotherapy. The final cohort was comprised of 14 patients.

Study flow diagram

Figure 1: Study flow diagram.

Baseline patient characteristics are shown in Table 1. The most common pathological diagnosis was PDAC (64%, 9/14 patients), followed by intraductal tubular neoplasm with invasive carcinoma (14%, 2/14 patients), intraductal papillary mucinous neoplasm (IPMN) with invasive carcinoma (7%, 1/14 patients), acinar cell cystadenocarcinoma (7%, 1/14 patients), and mucinous cystic neoplasm with invasive carcinoma (7%, 1/14 patients). 42% of patients were MSI-high, while the remainder had MSI-stable disease. BRCA (a marker of homologous recombination repair and with some correlation with immune response [22]) status was not known. All patients had a good functional status at diagnosis with ECOG scores of 0–1.

Table 1: Patient characteristics

Patient identifier1234567891011121314
InstitutionJHUJHUJHUJeffUCLAUCLAUCLAUCLAUCLAUCLAKUKUMayoUChicago
Age (years)7266536677636267697151707760
GenderMaleFemaleFemaleMaleFemaleMaleMaleFemaleFemaleMaleMaleFemaleFemaleFemale
RaceWhiteWhiteBlackHispanicWhiteWhiteWhiteWhiteAsianWhiteWhiteWhiteWhiteNative Hawaiian
Tissue diagnosisPDACPDACPDACPDACPDACPACITN-CIPMN-CMCN-CPDACPDACITN-CPDACPDAC
Genetic mutationMSH2MSH2, MSH6MSH2, MSH6CDX2, SMAD4KRAS, RNF43TP53, NF1, CDK12, E102K (MLH1)
MSI statusHighHighStableStableHighHighHighStableHighStableStableStableStableStable
DiabetesIINoNoIINoNoIINoNoNoINoIINo
Previous cancerColonColonNoNoOtherNoNoNoNoNoNoNoNoNo
Family history of cancerOvarianMelanomaOtherNoNoLungColonRenalNoPancreas, BreastLungNHLNoNo
Smoking historyPastPastNoNoNoNoNoNoNoNoCurrentNoNoNo
Stage at diagnosisIVIIIIVIIIIIIIIIIIIIIIIVIVIIIV
ECOG11010101110011
Neoadjuvant therapyNoYesNoNoYesYesNoYesYesNoNoNoNoNo
Chemotherapy (number of cycles)Gem, Pac (8)FOLFIRI-NOX (5)Gem, Pac, 5-FU, OxGem, CapFOLFIRI-NOX (9)
RadiationNoYes (3300)NoNoNoNoNoNoNoNoNoNoNoNo
SurgeryNoNoNoYesNoNoYesYesYesYesNoNoYesNo
MarginR1R0R0UnkUnkR0
Lymph node status10/13 (77%)Unk0/31 (0%)Unk2/13 (15%)2/20 (10%)
GradeG2G2G3G2G2G1G3G1G1G2G3G1G1
Venous/lymphatic invasionYesYesNoNoYesNo
Perineural invasionYesNoNoNoNoYes
Adjuvant therapyNoNoNoYesNoNoYesYesYesYesNoNoYesNo
Chemotherapy (number or cycles)FOLFIRI-NOX (24), Cap (1)FOLFIRI-NOX (7)Gem, 5-FU, OxGem, Pac (4)Gem, Cap, FOLFOX (2)Gem (2)
RadiationNoNoNoYesNoNoNoNoNoYesNoNoNoNo
Completion of therapyYesYesYesYesYesNo
Palliative therapyYesNoYesNoNoNoNoNoNoNoYesYesNoYes
Prior 1st line therapyFOLFIRI-NOX (6)FOLFOX (8)FOLFIRI-NOX (9)FOLFIRI-NOX (7)FOLFIRI-NOX (12)
2nd line therapyCap (6)FOLFIRI-NOX (6)Cap (17)
3rd line therapyGem, Pac
Stage of disease at start of immunoIVIIIIVRecurrent diseaseIIIIIIRecurrent diseaseRecurrent diseaseRecurrent diseaseRecurrent diseaseIVIVRecurrent diseaseIV
ImmunoYesYesYesYesYesYesYesYesYesYesYesYesYesYes
Drug usedIpi, NivPemPemCab, NivPemPemPemCabNivCab, NivPemPemIpi, NivAtez
IndicationProgTrialProgTrialTrialProgTrialTrialRecRecTrialTrialTrialTrial
PFS (months)-14.31.1614.0610.633927.571014.44.30.936.812.26
Progression-NoYesYesYesNoYesYesYesYesYesYesNoYes
OS (months)12.614.341811.43927.730.0311.915.267336.816.9
Vital statusDeadAliveAliveAliveAliveAliveAliveAliveDeadAliveAliveAliveAliveDead

The treatment sequences for all 14 patients are described in Figure 2. Of the 5 patients with stage I–II disease at diagnosis, 60% (3/5 patients) received upfront surgery and 40% (2/5 patients) received neoadjuvant therapy prior to surgery. 60% (3/5 patients) had R0 resection (microscopically margin negative) and the rest had unknown margin status. All stage I–II patients received adjuvant therapy. Among these patients, 40% and 60% (2/5 patients, 3/5 patients) had local and distant recurrence, respectively. Of the 4 patients with stage III disease at diagnosis, all received neoadjuvant therapy. One patient went on to undergo R1 resection (microscopically margin positive) followed by two cycles of postoperative therapy, followed by recurrent disease. The majority of these patients (3/4 patients, 75%) received second- or third-line immunotherapy as part of a trial and one patient (25%) received immune-based treatment outside of a trial upon disease progression. Five patients with stage IV disease at diagnosis received 1–3 lines of palliative chemotherapy prior to receiving immunotherapy. 40% (2/5 patients) received immunotherapy upon disease progression outside a trial and 60% (3/5 patients) received immunotherapy as part of a trial. In summary, all patients received immunotherapy only after one or more lines of chemotherapy and were progressing with conventional chemotherapy.

Sequence of treatment

Figure 2: Sequence of treatment.

Abbreviations: Unk: Unknown; FOLFIRINOX: 5-Flourouracil (5-FU), Oxaliplatin, Irinotecan, RT: radiotherapy; Cap: capecitabine; Pac: paclitaxel; Ox: Oxaliplatin. *Patient was started on immunotherapy as a part of a trial.

The details associated with immunotherapy are provided in Supplementary Table 1. Single agent immunotherapy included pembrolizumab (PD-1 inhibitor; 50%, 7/14 patients), nivolumab (PD-1 inhibitor; 14.5%, 2/14 patients), cabiralizumab (CSF-1R inhibitor; 7%, 1/14 patients), and atezolizumab (PD-1 inhibitor; 7%, 1/14 patients). Combination immunotherapy included ipilimumab (CTLA-4 inhibitor) with nivolumab (14.5%, 2/14 patients), and cabiralizumab with nivolumab (7%, 1/14 patients). The most common adverse effects reported were mild (Grade 1 to 2), and included fatigue (28%, 4/14 patients) and rash (28%, 4/14 patients). Only one patient (7%) had a grade 3 adverse effect (rash) which led to stoppage of immunotherapy. Patients received a median duration of 367 days of immunotherapy (interquartile range: 292–541 days).

Radiological and biochemical response

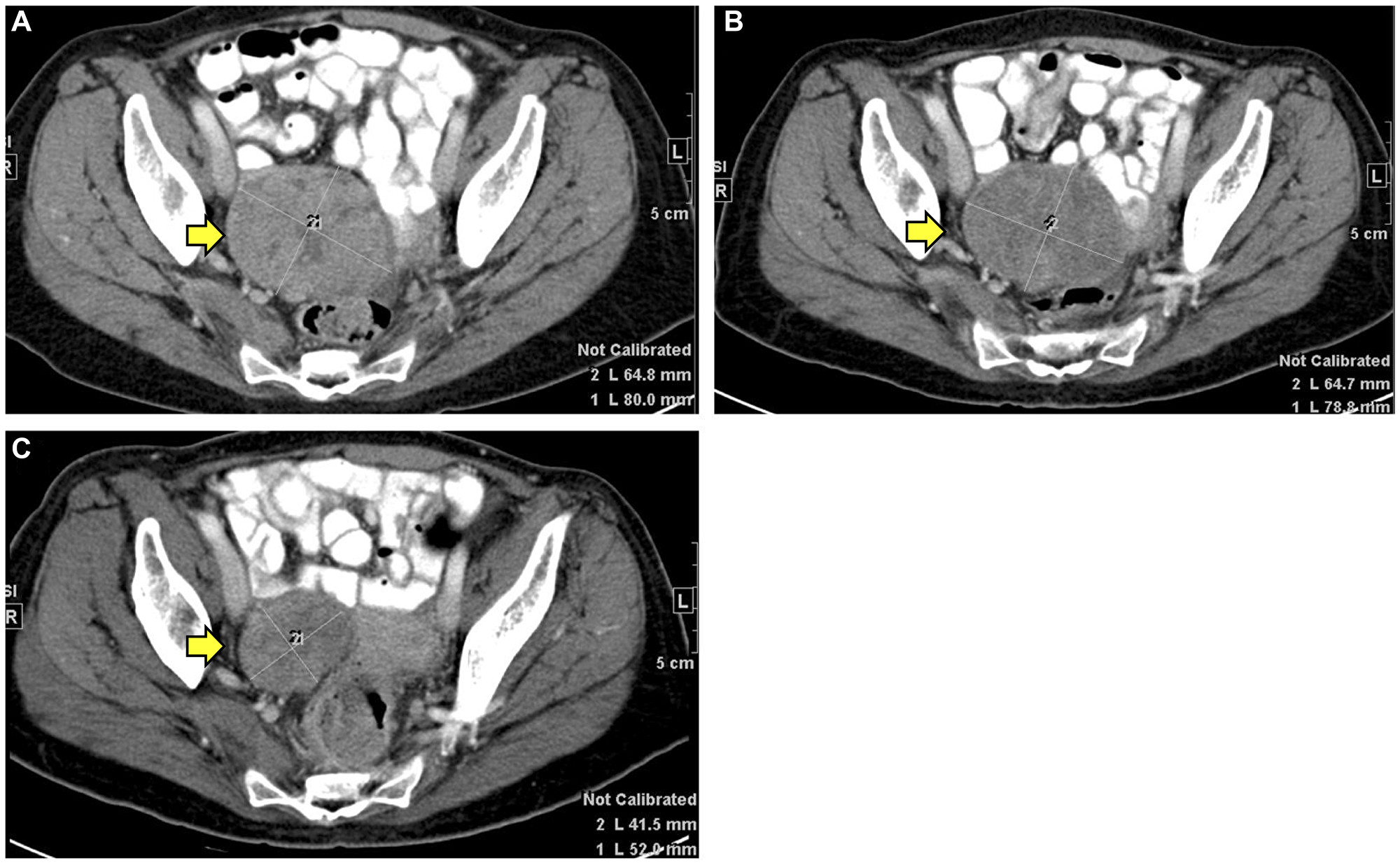
The radiological response data are described in Supplementary Table 2. Three patients did not have imaging information. None of the patients showed CR, nine patients (82%) showed PR, and two patients (18%) showed PD. Though these two patients had PD (patient #3 and #11), they demonstrated a biochemical response with a fall in CA 19-9 after starting immunotherapy, and hence were included in the analysis (Figure 3). Figure 4 depicts the imaging for a metastatic lesion in the pelvis of patient #9 before, at the start of, and at the maximal response of immunotherapy. The temporal trends in CA 19-9 following immunotherapy are shown in Figure 3. Nearly 67% (8/14 patients) showed stable CA 19-9 levels less than 100 U/ml throughout receipt of immunotherapy. 33% of patients (4/14 patients) had marked reduction in CA 19-9 levels; for instance, patient #3 showed reduction in CA 19-9 from 6418 U/ml to 274 U/ml at maximal response to immunotherapy.

CA 19-9 response following immunotherapy

Figure 3: CA 19-9 response following immunotherapy.

Y axis represents CA 19-9 levels in U/ml.

CT imaging findings of patient #9

Figure 4: CT imaging findings of patient #9.

(A) before starting immunotherapy, (B) at the start of immunotherapy, and (C) at maximal response to immunotherapy.

Survival analysis

The median follow-up duration was 14.8 months. Kaplan Meier curves for OS and PFS are shown in Figure 5. The median survival for the cohort was not reached. Two of the 14 patients (14%) died, with the remaining still alive at the time of data collection. Almost all patients progressed, with a median PFS of 12 months.

Kaplan Meier curve for overall survival and progression-free survival

Figure 5: Kaplan Meier curve for overall survival and progression-free survival.

A univariate cox regression analysis was performed comparing patient and treatment factors with survival (Supplementary Table 3). None of the factors were associated with OS. Younger age was associated with worse PFS (age 60–69 versus age 50–59 years, hazard ratio (HR): 0.07 (95% confidence interval (CI): 0.006–0.86, p = 0.04). Distant disease at initial diagnosis was associated with worse PFS (HR: 6.96, 95% CI: 1.49–32.38, p = 0.01).

Subgroup analysis based on MSI status

Notably, of those with MSI-stable status, patients #4, #8, #13, and #14 were the most remarkable responders with OS ranging between 18 and 36.8 months, and PFS between 14 and 36.8 months. Patients #4 and #13 had a significant drop in CA 19-9 after starting immunotherapy, while rest had stable CA 19-9 levels <200 U/ml. Of these patients, two patients that had imaging data (#8 and #14) had a partial response to immunotherapy.

A subgroup survival analysis was done comparing MSI-high and MSI-stable patients (Supplementary Figure 1). There was no difference in OS (HR: 2.75, 95%CI: 0.24–31.04, p = 0.41) and PFS (HR: 0.43, 95% CI: 0.11–1.71, p = 0.24) on univariate cox proportional regression analysis.

Comparative analysis with FOLFIRINOX arm of ACCORD trial

A comparative analysis was performed between patients in this cohort and patients with advanced PDAC in the FOLFIRINOX (5-flurouracil, oxaliplatin, irinotecan, folinic acid) arm of the ACCORD trial [23] using digitalized Kaplan-Meir curves estimated using Webplot digitalizer [24, 25] (Supplementary Figures 2 and 3). There was a significant difference in OS between groups (HR: 2.17, 95% CI: 1.37–3.43, p < 0.05). There was no difference in PFS between groups (HR: 0.63, 95% CI: 0.38–1.04, p > 0.05).

DISCUSSION

Multiagent chemotherapy is currently the standard of care for locally advanced and metastatic PC. Neoadjuvant therapy followed by surgical resection offers the best chance for long-term survival for patients with locally advanced disease. However, current evidence shows that even with combination chemotherapy, long-term prognosis is poor. The ACCORD and MPACT trials showed that patients with advanced PDAC who received FOLFIRINOX and gemcitabine/paclitaxel in the first-line, have a median overall survival of 11.1 [26] and 8.5 [27] months, respectively. Once patients reach second-line treatment, the median PFS is around 4 months, and OS is typically an additional 6 months from the start of the second-line treatment regimen [28]. Of the patients with locally advanced disease, only one-third of patients undergo eventual surgical resection, and the median survival in large clinical trials is around 15–18 months after surgery [2931]. Of the remaining patients who progress, only half of patients are able to receive second-line chemotherapy due to performance status decline. Such inoperable patients have a median OS from the start of second-line therapy of just 2–6 months [32, 33], and median OS from the original date of diagnosis of 4–9 months [3237]. Thus, novel therapeutic approaches are urgently needed.

Immunotherapy has been investigated as a potential alternative for patients with advanced disease. Though results from numerous phase I–II trials failed to show an apparent benefit, certain isolated cases showing exceptional response to immunotherapy have been reported. Our study adds to this scarce but critical body of literature. Herein, we offer the largest multi-institutional cohort to our knowledge. Though none of the patients showed a complete response, the ORR was 82% (9/11 patients), which is remarkable since the ORR with advanced line chemotherapy is 3–15% [28, 38, 39]. Moreover, 28% (4/14 patients) of patients showed a significant reduction in CA 19-9, despite prior evidence of progression on chemotherapy. The median PFS was 12 months from start of immunotherapy, and the overall survival probabilities at 1 and 2 years were 80% and 70%, respectively. These results are remarkable compared to historical experience with advanced line chemotherapy, where PFS is expected to be under 6 months and OS slightly higher.

Several different immune-oncologic strategies have been tested in PC, including immune checkpoint inhibitors, adoptive T cell transfer therapy, cancer vaccines, and macrophage inhibitors. CTLA-4 inhibits signaling of CD-28, which is a costimulatory protein required for T cell activation and proliferation [40, 41]. Ipilimumab is a CTLA-4 inhibitor previously investigated in patients with PDAC. Royal et al. performed a phase II trial of ipilimumab in advanced PDAC, with no responders identified in a cohort of 27 patients [13]. Similarly, Kamath et al. performed a phase I trial in advanced PDAC receiving second- or third-line therapy. Patients received ipilimumab and gemcitabine, with an ORR of 14% (3/21 patients) and a median OS and PFS of 6.9 and 2.8 months, respectively [42].

The interaction of PD-1 and its ligand PD-L1 in tumor cells inhibits kinase signaling pathways and prevents T-cell activation [43]. Four trials have evaluated and published results using PD-1 inhibitors (pembrolizumab, nivolumab, and durvalimumab), with poor outcomes. Weiss et al. performed a phase II trial of chemotherapy naïve metastatic PDAC patients receiving gemcitabine, paclitaxel, and pembrolizumab with a median PFS and OS of 9.1 and 15 months, respectively [44]. Wainberg et al. performed a phase I study of 50 patients with chemotherapy naïve advanced PDAC receiving nivolumab, paclitaxel, and gemcitabine. The ORR was 18%, median PFS and OS was 5.5 and 9.9 months, respectively [45]. O’Reilly et al. performed a randomized phase II trial comparing durvalumab monotherapy versus durvalumab and tremelimumab (another CTLA-4 antagonist). ORR was just 3.3% (1/34 patients), and 0% (0/32 patients) in the two groups, respectively [15]. The rate of grade 3–4 toxicities ranged between 10.6–76.2% of patients. The outcomes in each of these studies was comparable to the experience with second line chemotherapy alone. In the most encouraging study to date, Le et al. studied the response of 8 patients with MSI-H pancreatic tumors with at least one prior therapy prior to receiving pembrolizumab with a ORR of 53% [43]. Following this, the 2018 ASCO guidelines recommended pembrolizumab for MSI-H pancreatic tumors [46]. Despite these promising findings, it must be acknowledged that MSH-H status in pancreatic cancer is rare, with a prevalence less than 1% [47, 48].

CAR-T cell therapy is a form of adoptive T cell transfer in which harvested patient T cells are re-engineered to target certain tumor genes and are infused back into the patient [49]. A separate technology uses tumor vaccines to induce tumor-specific immunity by administering tumor antigens to patients [50]. Neither CAR-T cell therapy nor tumor vaccines have shown a consistent positive response in patients with advanced PC [5153]. Tumor-associated macrophages (TAMs) have also been shown to promote an immunosuppressive environment in PC. Nywening et al. conducted a phase I trial investigating FOLFIRINOX with or without the CCL2 inhibitor (PF-04136309) in patients with borderline resectable and locally advanced PDAC. The drug targets the CCL2-CCR2 chemokine axis that recruits TAMs to the tumor resulting in an immunosuppressive environment and immune escape. The trial has been one of the more favorable for conventional PDAC, with an ORR observed in 49% of patients (16/33) [54], but was an early-phase clinical trial and attribution to immunotherapy cannot be ascertained since patients received FOLFIRNOX (which is associated with a 30–40% response rate) [26].

PC is considered a ‘cold tumor’ compared to the immune response to other cancer types, and the lack of response to immunotherapy to date is primarily attributed to a highly desmoplastic and immunosuppressive environment. The TME (or stromal compartment) is uniquely abundant, comprising 80% of the tumor mass in PC and imparts resistance to therapy by various mechanisms. Hypothesized explanations of the poor immune response include reduced T cell migration related to a dense fibrotic stroma, downregulation of major histocompatibility complex class I (MHC I) molecules, increased signaling of regulatory T cells, reduced cytotoxic T cells, and increased CTLA-4 and PD-1 signaling to downregulate activation of T cells [55]. Also, PDAC tumor cells escape immune surveillance by binding tumor-associated antigens, which are rich in extracellular vesicles and competitively bind autoantibodies, protecting tumor cells from antibody-mediated immunity [56]. One possible method to improve responsiveness of immunotherapy could be to modify the tumor microenvironment by reducing desmoplasia and restoring immune surveillance, although this strategy seemed to have an unintended opposite response in mice where PDAC aggressiveness increased when the stroma was targeted [55, 57]. The combination of immune checkpoint inhibitors and stroma-targeting agents like clodronate liposomes which inhibit tumor associated macrophages may improve overall responsiveness [58]. Additionally, low tumor mutational burden has also been proposed as a driving factor of immune tolerance in PC.

Recently, case reports have shown examples of exceptional responses to immunotherapy. Patil et al. described a patient with Lynch syndrome and MSI-high PDAC metastatic to the liver, who received pembrolizumab following disease progression after two lines of chemotherapy. The patient had a complete clinical and pathological response that lasted up to 11 months after a single cycle of pembrolizumab [20]. Ye et al. studied the treatment response in a patient with MSI-stable metastatic PDAC with SMAD2 and TSC2 gene mutations following two lines of chemotherapy. This patient received a combination of S-1 chemotherapy (tegafur, gimeracil, oteracil) and a PD-1 inhibitor (sintilimab), and a partial response to therapy was observed that continued for 8 months following initial therapy. TSC2 is a tumor suppressor gene and impaired expression has been shown previously to be associated with improved responsiveness to checkpoint inhibitors, although the reason for this response is still unknown [59]. The TGF-beta/SMAD 4 signaling pathway is believed to be important to the tumor immune response, since TGF-beta can enhance expression of PD-1 and suppress the immune response [60]. Lundy et al. studied the response of a patient with metastatic PDAC and a BRCA2 mutation, along with high tumor mutational burden to gemcitabine, paclitaxel, pembrolizumab, and olaparib (a PARP inhibitor). This patient showed a complete clinical response to treatment [19]. Of note, nearly 5–9% of all patients with PDAC have BRCA 1 and BRCA 2 mutations [7].

Our case series showcases the usefulness of immunotherapy in a subset of patients with advanced PDAC. On comparative analysis, this cohort of exceptional responders had a better survival compared to the FOLFIRINOX arm of the ACCORD trial. Though it may not be possible to make direct comparisons and conclusions from this rudimentary analysis due to differences in patient population and line of therapy, it provides a summary of the magnitude of difference in outcomes. Several features of these tumors and patients in this cohort are worth emphasizing. Only 43% of patients had MSI-H status. Thus, while MSI-H is likely the most important predictor of response (1% of all PDAC patients have MSI-H), the majority of responders were actually MSI-stable. While mutational burden is a known predictor of PD-1 inhibition in other cancers (e.g., lung) [61, 62], the proportion of patients with a smoking history in this cohort was very low. Two of the patients had a history of ovarian or breast cancer, pointing to a possible BRCA mutation in the PC, and indicating a genetic susceptibility to chromosome instability and immune-oncologic responsiveness, although BRCA status was not obtained in this cohort.

Several possible factors may be responsible for the exceptional response to immunotherapy in patients with MSI-stable status which are summarized in Supplementary Figure 4. Tumor-intrinsic oncogenic signaling like the inactivation of PIK3 pathway through phosphate and and tensin homolog (PTEN) activation has been shown to be associated with better survival in melanoma patients undergoing immunotherapy [63]. Presence of interferon gamma in the tumor has been shown to accentuate immune checkpoint inhibitors [64]. Other possible mechanisms including epigenetic alterations [65], tumor suppressive immune cells like TAMs [66], and immunosuppressive cytokines like transforming growth factor-β have also been implicated [67]. Finally, favorable gut microbiome with certain bacterial species have been associated with a response to immunotherapy in melanoma [68]. On cox proportional regression analysis, younger age and distant disease was associated with worse PFS. Wang et al. performed a retrospective study to identify prognostic factors for patients with metastatic gastrointestinal cancers undergoing treatment with immunotherapy. Younger patients had worse survival [69]. This has been shown in other meta-analyses exploring immune checkpoint inhibitors [70]. The possible reasons are unknown, however few possible reasons could be due to stronger MHC based driver selection [71] and the lower ratio of T cells to T regulatory cells in younger individuals [72]. Further prospective research is necessary to study these mechanisms in PC. Based on the results, the selection criteria for immunotherapy trials investigating pancreatic ductal adenocarcinoma (PDAC) may require revision to encompass a broader range of factors beyond MSI status.

Numerous predictive biomarkers have been associated with a better response to immune checkpoint inhibitors in other solid tumors including tumor mutational burden, PDL-1 protein expression [7376], density of tumor infiltrating lymphocytes (TILs) [77], HLA class I diversity [78, 79], loss of heterogeneity at HLA class I alleles [80], T cell repertoire clonality change, T cell inflamed microenvironment, tumor-specific mutations, gut microbiome diversity, specific gut microbial species [8183], TGF-beta expression [84], and mutations in beta-catenin pathway [85]. In addition, systemic markers including neutrophil to lymphocyte ratio, T cell clonality, circulating Treg count, and lactate have been shown to be associated with PFS and OS in several cancer types upon treatment with immunotherapy [8690]. A possible way to improve patient selection could be to develop a composite predictive model considering these various elements, although the sample size and molecular profiling requirements would be significant. Finally, studies incorporating multi-omics data can provide a greater understanding of prognostic phenotypes and can assist translational research by integrative cancer models [91].

There are several notable limitations to this study. This is a retrospective collection of patients and is subject to recall bias. It may not be representative of the general population and have significant selection bias. Several tumor characteristics including tumor microenvironment characteristics, BRCA mutational status to name a few were unknown. Next generation sequencing may help in identifying molecular basis for response in patients with MSI-stable status. However, this was not available for the cohort. The denominator of PC patients who received immunotherapy was not available. Hence it was not possible to identify factors for an exceptional response to immunotherapy. The subgroup survival analysis based on MSI status is limited by low sample size and considerable large confidence intervals, as indicated by our KM curve analysis. Similarly, the comparative analysis with historical cohort is limited by this and errors of estimating HR from Kaplan Meier curves.

Immunotherapy has failed to lead to a paradigm change in treatment for pancreatic cancer. A transference of knowledge of immunotherapy from other solid tumors to pancreatic cancer has not yielded meaningful and actionable information. Our case series of exceptional responders to immunotherapy emphasizes that a favorable response is possible, but with an unknown biologic explanation in roughly half of the patients (the MSI-stable patients). Further understanding of the tumor microenvironment, immune resistance, and molecular predictors of response are needed to achieve better outcomes with this therapeutic approach.

Materials and Methods

Patient selection

This multi-institutional case series was reviewed and approved by the University Hospitals, Cleveland Medical Center Institutional review board (IRB no. 20191439). Patients diagnosed with pancreatic ductal adenocarcinoma and histological variants who had an exceptional response to immunotherapy were included. Exceptional responders were defined as those having either a partial (PR) or complete response (CR) based on the Immune-Modified Response Evaluation Criteria in Solid Tumors (imRECIST) imaging criteria [92] or a biochemical response (decreasing or stable trend of CA 19-9 levels) following start of immunotherapy. Immunotherapy regimens included immune checkpoint inhibitors, tumor vaccines, CAR T-cell therapy, and macrophage receptor blockers. Patients who received chemotherapy along with immunotherapy were excluded to isolate any therapeutic benefit to the immune-oncologic treatment.

Data collection

Oncologists from major cancer centers in the United States were contacted to submit data from patients with PC with the previously mentioned inclusion criteria. Among the institutions that responded, a data use agreement was signed between institutions to share deidentified patient information. Data were shared and stored through the Research Electronic Data Capture (REDCap) web application [93].

The following information was recorded for all patients: age, gender, race, history of cancer, history of diabetes, family history of cancer, smoking history, Eastern Cooperative Oncology Group (ECOG) functional status, histological diagnosis, genetic mutation, mutational burden status, stage of disease at diagnosis, and start of immunotherapy, resection status, and the use of other prior treatments (chemotherapy or radiation). Pathological information among those who underwent resection included margin status, lymph node status, grade of tumor, and venous, lymphatic, or perineural invasion. All patients were diagnosed with invasive adenocarcinoma of the pancreas, although specific diagnoses may include variants of conventional pancreatic ductal adenocarcinoma (PDAC) [94]. Precise histologic diagnoses and subtypes are indicated in the results. Details around immunotherapy were recorded, included the treatment type and adverse effects according to the Common Terminology Criteria for Adverse Events (CTCAE) as grade 1 to 4 toxicity [95].

Measured outcomes

The outcomes of the study included overall survival (OS), progression free survival (PFS), CA19-9 response, and radiological response. OS was calculated from the start date of immunotherapy until the last follow up date or death. PFS was calculated from the start date of immunotherapy to the date of progression or death. Kaplan Meier curves were used to graphically depict OS and PFS. CA 19-9 values prior to, during, and after immunotherapy were collected and temporally plotted to assess response to therapy. A univariate cox regression analysis was performed to assess the association between patient and treatment factors with OS and PFS respectively. Radiological response to immunotherapy was classified as CR, PR, stable disease (SD), or progressive disease (PD), according to standard definitions [96]. All statistical analyses were performed using StataSE v16.0 (Statacorp LLC, College Station, TX, USA) and a p-value less than 0.05 was used to indicate statistical significance.

AUTHOR CONTRIBUTIONS

Kavin Sugumar: Conceived and designed analysis, performed analysis, contributed data and analysis tools, writing the paper. Andrew Alabd, Sherri Fields, Zev Wainberg, Lei Zheng, Nicholas Grewal and Hedy L. Kindler: Contributed data and analysis tools, collected data, critical review of the project. Jonathan J. Hue: Performed analysis, contributed data and analysis tools, collected data, writing the paper, critical review of the project. Josh Lyons: Collected data, critical review of the project. Brianna Coogle: Conceived and designed analysis, contributed data and analysis tools, collected data, writing the paper, critical review of the project. Anup Kasi: Conceived and designed analysis, performed analysis, contributed data and analysis tools, collected data, critical review of the project. Jason Starr: Conceived and designed analysis, performed analysis, contributed data and analysis tools, collected data, writing the paper, critical review of the project. Ashwin R. Sama: Contributed data and analysis tools, collected data, writing the paper, critical review of the project. Jordan M. Winter: Conceived and designed analysis, contributed data and analysis tools, critical review of the project.

CONFLICTS OF INTEREST

Authors have no conflicts of interest to declare.

ETHICAL STATEMENT

This multi-institutional case series was reviewed and approved by the University Hospitals, Cleveland Medical Center Institutional review board (IRB no. 20191439). This retrospective review utilized deidentified patient information and was therefore exempt from the requirement for formal patient consent as per the institutional ethics board/ IRB.

CONSENT

The Institutional review board waived the need for formal consent of subjects as this study was a retrospective chart review of deidentified information in patients of age >18 years.

FUNDING

No funding was used for this paper.

References

1. Siegel RL, Giaquinto AN, Jemal A. Cancer statistics, 2024. CA Cancer J Clin. 2024; 74:12–49. https://doi.org/10.3322/caac.21820. [PubMed].

2. Siegel RL, Miller KD, Wagle NS, Jemal A. Cancer statistics, 2023. CA Cancer J Clin. 2023; 73:17–48. https://doi.org/10.3322/caac.21763. [PubMed].

3. Conlon KC, Klimstra DS, Brennan MF. Long-term survival after curative resection for pancreatic ductal adenocarcinoma. Clinicopathologic analysis of 5-year survivors. Ann Surg. 1996; 223:273–79. https://doi.org/10.1097/00000658-199603000-00007. [PubMed].

4. Ozawa F, Friess H, Künzli B, Shrikhande SV, Otani T, Makuuchi M, Büchler MW. Treatment of pancreatic cancer: the role of surgery. Dig Dis. 2001; 19:47–56. https://doi.org/10.1159/000050653. [PubMed].

5. Weledji EP, Enoworock G, Mokake M, Sinju M. How Grim is Pancreatic Cancer? Oncol Rev. 2016; 10:294. https://doi.org/10.4081/oncol.2016.294. [PubMed].

6. Lee HS, Park SW. Systemic Chemotherapy in Advanced Pancreatic Cancer. Gut Liver. 2016; 10:340–47. https://doi.org/10.5009/gnl15465. [PubMed].

7. Golan T, Hammel P, Reni M, Van Cutsem E, Macarulla T, Hall MJ, Park JO, Hochhauser D, Arnold D, Oh DY, Reinacher-Schick A, Tortora G, Algül H, et al. Maintenance Olaparib for Germline BRCA-Mutated Metastatic Pancreatic Cancer. N Engl J Med. 2019; 381:317–27. https://doi.org/10.1056/NEJMoa1903387. [PubMed].

8. Esfahani K, Roudaia L, Buhlaiga N, Del Rincon SV, Papneja N, Miller WH Jr. A review of cancer immunotherapy: from the past, to the present, to the future. Curr Oncol. 2020; 27:S87–97. https://doi.org/10.3747/co.27.5223. [PubMed].

9. Katayama ES, Hue JJ, Bajor DL, Ocuin LM, Ammori JB, Hardacre JM, Winter JM. A comprehensive analysis of clinical trials in pancreatic cancer: what is coming down the pike? Oncotarget. 2020; 11:3489–501. https://doi.org/10.18632/oncotarget.27727. [PubMed].

10. NCCN Guidlines: Pancreatic Adenocarcinoma. 2021. https://www.nccn.org/guidelines/guidelines-detail?category=1&id=1455.

11. Zhao L, Singh V, Ricca A, Lee P. Survival Benefit of Pembrolizumab for Patients With Pancreatic Adenocarcinoma: A Case Series. J Med Cases. 2022; 13:240–43. https://doi.org/10.14740/jmc3918. [PubMed].

12. Luchini C, Brosens LAA, Wood LD, Chatterjee D, Shin JI, Sciammarella C, Fiadone G, Malleo G, Salvia R, Kryklyva V, Piredda ML, Cheng L, Lawlor RT, et al. Comprehensive characterisation of pancreatic ductal adenocarcinoma with microsatellite instability: histology, molecular pathology and clinical implications. Gut. 2021; 70:148–56. https://doi.org/10.1136/gutjnl-2020-320726. [PubMed].

13. Royal RE, Levy C, Turner K, Mathur A, Hughes M, Kammula US, Sherry RM, Topalian SL, Yang JC, Lowy I, Rosenberg SA. Phase 2 trial of single agent Ipilimumab (anti-CTLA-4) for locally advanced or metastatic pancreatic adenocarcinoma. J Immunother. 2010; 33:828–33. https://doi.org/10.1097/CJI.0b013e3181eec14c. [PubMed].

14. Brahmer JR, Tykodi SS, Chow LQ, Hwu WJ, Topalian SL, Hwu P, Drake CG, Camacho LH, Kauh J, Odunsi K, Pitot HC, Hamid O, Bhatia S, et al. Safety and activity of anti-PD-L1 antibody in patients with advanced cancer. N Engl J Med. 2012; 366:2455–65. https://doi.org/10.1056/NEJMoa1200694. [PubMed].

15. O’Reilly EM, Oh DY, Dhani N, Renouf DJ, Lee MA, Sun W, Fisher G, Hezel A, Chang SC, Vlahovic G, Takahashi O, Yang Y, Fitts D, Philip PA. Durvalumab With or Without Tremelimumab for Patients With Metastatic Pancreatic Ductal Adenocarcinoma: A Phase 2 Randomized Clinical Trial. JAMA Oncol. 2019; 5:1431–38. https://doi.org/10.1001/jamaoncol.2019.1588. [PubMed].

16. Riquelme E, Maitra A, McAllister F. Immunotherapy for Pancreatic Cancer: More Than Just a Gut Feeling. Cancer Discov. 2018; 8:386–88. https://doi.org/10.1158/2159-8290.CD-18-0123. [PubMed].

17. Pushalkar S, Hundeyin M, Daley D, Zambirinis CP, Kurz E, Mishra A, Mohan N, Aykut B, Usyk M, Torres LE, Werba G, Zhang K, Guo Y, et al. The Pancreatic Cancer Microbiome Promotes Oncogenesis by Induction of Innate and Adaptive Immune Suppression. Cancer Discov. 2018; 8:403–16. https://doi.org/10.1158/2159-8290.CD-17-1134. [PubMed].

18. Di Federico A, Mosca M, Pagani R, Carloni R, Frega G, De Giglio A, Rizzo A, Ricci D, Tavolari S, Di Marco M, Palloni A, Brandi G. Immunotherapy in Pancreatic Cancer: Why Do We Keep Failing? A Focus on Tumor Immune Microenvironment, Predictive Biomarkers and Treatment Outcomes. Cancers (Basel). 2022; 14:2429. https://doi.org/10.3390/cancers14102429. [PubMed].

19. Lundy J, McKay O, Croagh D, Ganju V. Exceptional Response to Olaparib and Pembrolizumab for Pancreatic Adenocarcinoma With Germline BRCA1 Mutation and High Tumor Mutation Burden: Case Report and Literature Review. JCO Precis Oncol. 2022; 6:e2100437. https://doi.org/10.1200/PO.21.00437. [PubMed].

20. Patil NR, Khan GN. Exceptional Response to A Single Cycle of Immunotherapy in a Lynch Syndrome Patient with Metastatic Pancreatic Adenocarcinoma. Am J Case Rep. 2020; 21:e923803. https://doi.org/10.12659/AJCR.923803. [PubMed].

21. Ye Y, Zheng S. Successful Immunotherapy for Pancreatic Cancer in a Patient With TSC2 and SMAD4 Mutations: A Case Report. Front Immunol. 2021; 12:785400. https://doi.org/10.3389/fimmu.2021.785400. [PubMed].

22. Golan T, Brody JR. Targeting homologous recombination addicted tumors: challenges and opportunities. Ann Pancreat Cancer. 2020; 3:6. https://doi.org/10.21037/apc.2020.03.02. [PubMed].

23. Conroy T, Bosset JF, Etienne PL, Rio E, François É, Mesgouez-Nebout N, Vendrely V, Artignan X, Bouché O, Gargot D, Boige V, Bonichon-Lamichhane N, Louvet C, et al, and Unicancer Gastrointestinal Group and Partenariat de Recherche en Oncologie Digestive (PRODIGE) Group. Neoadjuvant chemotherapy with FOLFIRINOX and preoperative chemoradiotherapy for patients with locally advanced rectal cancer (UNICANCER-PRODIGE 23): a multicentre, randomised, open-label, phase 3 trial. Lancet Oncol. 2021; 22:702–15. https://doi.org/10.1016/S1470-2045(21)00079-6. [PubMed].

24. Cramond F, O’Mara-Eves A, Doran-Constant L, Rice AS, Macleod M, Thomas J. The development and evaluation of an online application to assist in the extraction of data from graphs for use in systematic reviews. Wellcome Open Res. 2019; 3:157. https://doi.org/10.12688/wellcomeopenres.14738.3. [PubMed].

25. Tierney JF, Stewart LA, Ghersi D, Burdett S, Sydes MR. Practical methods for incorporating summary time-to-event data into meta-analysis. Trials. 2007; 8:16. https://doi.org/10.1186/1745-6215-8-16. [PubMed].

26. Conroy T, Desseigne F, Ychou M, Bouché O, Guimbaud R, Bécouarn Y, Adenis A, Raoul JL, Gourgou-Bourgade S, de la Fouchardière C, Bennouna J, Bachet JB, Khemissa-Akouz F, et al, and Groupe Tumeurs Digestives of Unicancer PRODIGE Intergroup. FOLFIRINOX versus gemcitabine for metastatic pancreatic cancer. N Engl J Med. 2011; 364:1817–25. https://doi.org/10.1056/NEJMoa1011923. [PubMed].

27. Von Hoff DD, Ervin T, Arena FP, Chiorean EG, Infante J, Moore M, Seay T, Tjulandin SA, Ma WW, Saleh MN, Harris M, Reni M, Dowden S, et al. Increased survival in pancreatic cancer with nab-paclitaxel plus gemcitabine. N Engl J Med. 2013; 369:1691–703. https://doi.org/10.1056/NEJMoa1304369. [PubMed].

28. Jung HY, Lee EM. The clinical outcomes of second-line chemotherapy in patients with advanced pancreatic cancer: a retrospective study. J Yeungnam Med Sci. 2022; 39:124–32. https://doi.org/10.12701/yujm.2021.01347. [PubMed].

29. Hank T, Strobel O. Conversion Surgery for Advanced Pancreatic Cancer. J Clin Med. 2019; 8:1945. https://doi.org/10.3390/jcm8111945. [PubMed].

30. Hammel P, Huguet F, van Laethem JL, Goldstein D, Glimelius B, Artru P, Borbath I, Bouché O, Shannon J, André T, Mineur L, Chibaudel B, Bonnetain F, Louvet C, and LAP07 Trial Group. Effect of Chemoradiotherapy vs Chemotherapy on Survival in Patients With Locally Advanced Pancreatic Cancer Controlled After 4 Months of Gemcitabine With or Without Erlotinib: The LAP07 Randomized Clinical Trial. JAMA. 2016; 315:1844–53. https://doi.org/10.1001/jama.2016.4324. [PubMed].

31. Mukherjee S, Hurt CN, Bridgewater J, Falk S, Cummins S, Wasan H, Crosby T, Jephcott C, Roy R, Radhakrishna G, McDonald A, Ray R, Joseph G, et al. Gemcitabine-based or capecitabine-based chemoradiotherapy for locally advanced pancreatic cancer (SCALOP): a multicentre, randomised, phase 2 trial. Lancet Oncol. 2013; 14:317–26. https://doi.org/10.1016/S1470-2045(13)70021-4. [PubMed].

32. Pelzer U, Schwaner I, Stieler J, Adler M, Seraphin J, Dörken B, Riess H, Oettle H. Best supportive care (BSC) versus oxaliplatin, folinic acid and 5-fluorouracil (OFF) plus BSC in patients for second-line advanced pancreatic cancer: a phase III-study from the German CONKO-study group. Eur J Cancer. 2011; 47:1676–81. https://doi.org/10.1016/j.ejca.2011.04.011. [PubMed].

33. Oettle H, Riess H, Stieler JM, Heil G, Schwaner I, Seraphin J, Görner M, Mölle M, Greten TF, Lakner V, Bischoff S, Sinn M, Dörken B, Pelzer U. Second-line oxaliplatin, folinic acid, and fluorouracil versus folinic acid and fluorouracil alone for gemcitabine-refractory pancreatic cancer: outcomes from the CONKO-003 trial. J Clin Oncol. 2014; 32:2423–29. https://doi.org/10.1200/JCO.2013.53.6995. [PubMed].

34. Boeck S, Weigang-Köhler K, Fuchs M, Kettner E, Quietzsch D, Trojan J, Stötzer O, Zeuzem S, Lordick F, Köhne CH, Kröning H, Steinmetz T, Depenbrock H, Heinemann V. Second-line chemotherapy with pemetrexed after gemcitabine failure in patients with advanced pancreatic cancer: a multicenter phase II trial. Ann Oncol. 2007; 18:745–51. https://doi.org/10.1093/annonc/mdl463. [PubMed].

35. Oettle H, Arnold D, Esser M, Huhn D, Riess H. Paclitaxel as weekly second-line therapy in patients with advanced pancreatic carcinoma. Anticancer Drugs. 2000; 11:635–38. https://doi.org/10.1097/00001813-200009000-00006. [PubMed].

36. Androulakis N, Syrigos K, Polyzos A, Aravantinos G, Stathopoulos GP, Ziras N, Mallas K, Vamvakas L, Georgoulis V, and Hellenic Oncology Research Group. Oxaliplatin for pretreated patients with advanced or metastatic pancreatic cancer: a multicenter phase II study. Cancer Invest. 2005; 23:9–12. [PubMed].

37. Boeck S, Wilkowski R, Bruns CJ, Issels RD, Schulz C, Moosmann N, Laessig D, Haas M, Golf A, Heinemann V. Oral capecitabine in gemcitabine-pretreated patients with advanced pancreatic cancer. Oncology. 2007; 73:221–27. https://doi.org/10.1159/000127413. [PubMed].

38. Huh G, Lee HS, Choi JH, Lee SH, Paik WH, Ryu JK, Kim YT, Bang S, Lee ES. Gemcitabine plus Nab-paclitaxel as a second-line treatment following FOLFIRINOX failure in advanced pancreatic cancer: a multicenter, single-arm, open-label, phase 2 trial. Ther Adv Med Oncol. 2021; 13:17588359211056179. https://doi.org/10.1177/17588359211056179. [PubMed].

39. Fukahori M, Okabe Y, Shimokawa M, Otsuka T, Koga F, Ueda Y, Nakazawa J, Komori A, Otsu S, Arima S, Makiyama A, Taguchi H, Honda T, et al. Efficacy of second-line chemotherapy after treatment with gemcitabine plus nab-paclitaxel or FOLFIRINOX in patients with metastatic pancreatic cancer. Sci Rep. 2023; 13:19399. https://doi.org/10.1038/s41598-023-46924-0. [PubMed].

40. Ribas A, Wolchok JD. Cancer immunotherapy using checkpoint blockade. Science. 2018; 359:1350–55. https://doi.org/10.1126/science.aar4060. [PubMed].

41. Postow MA, Callahan MK, Wolchok JD. Immune Checkpoint Blockade in Cancer Therapy. J Clin Oncol. 2015; 33:1974–82. https://doi.org/10.1200/JCO.2014.59.4358. [PubMed].

42. Kamath SD, Kalyan A, Kircher S, Nimeiri H, Fought AJ, Benson A 3rd, Mulcahy M. Ipilimumab and Gemcitabine for Advanced Pancreatic Cancer: A Phase Ib Study. Oncologist. 2020; 25:e808–15. https://doi.org/10.1634/theoncologist.2019-0473. [PubMed].

43. Simon S, Labarriere N. PD-1 expression on tumor-specific T cells: Friend or foe for immunotherapy? Oncoimmunology. 2017; 7:e1364828. https://doi.org/10.1080/2162402X.2017.1364828. [PubMed].

44. Weiss GJ, Blaydorn L, Beck J, Bornemann-Kolatzki K, Urnovitz H, Schütz E, Khemka V. Phase Ib/II study of gemcitabine, nab-paclitaxel, and pembrolizumab in metastatic pancreatic adenocarcinoma. Invest New Drugs. 2018; 36:96–102. https://doi.org/10.1007/s10637-017-0525-1. [PubMed].

45. Wainberg ZA, Hochster HS, Kim EJ, George B, Kaylan A, Chiorean EG, Waterhouse DM, Guiterrez M, Parikh A, Jain R, Carrizosa DR, Soliman HH, Lila T, et al. Open-label, Phase I Study of Nivolumab Combined with nab-Paclitaxel Plus Gemcitabine in Advanced Pancreatic Cancer. Clin Cancer Res. 2020; 26:4814–22. https://doi.org/10.1158/1078-0432.CCR-20-0099. [PubMed].

46. Sohal DPS, Kennedy EB, Khorana A, Copur MS, Crane CH, Garrido-Laguna I, Krishnamurthi S, Moravek C, O’Reilly EM, Philip PA, Ramanathan RK, Ruggiero JT, Shah MA, et al. Metastatic Pancreatic Cancer: ASCO Clinical Practice Guideline Update. J Clin Oncol. 2018; 36:2545–56. https://doi.org/10.1200/JCO.2018.78.9636. [PubMed].

47. Humphris JL, Patch AM, Nones K, Bailey PJ, Johns AL, McKay S, Chang DK, Miller DK, Pajic M, Kassahn KS, Quinn MC, Bruxner TJ, Christ AN, et al, and Australian Pancreatic Cancer Genome Initiative. Hypermutation In Pancreatic Cancer. Gastroenterology. 2017; 152:68–74.e2. https://doi.org/10.1053/j.gastro.2016.09.060. [PubMed].

48. Nevala-Plagemann C, Hidalgo M, Garrido-Laguna I. From state-of-the-art treatments to novel therapies for advanced-stage pancreatic cancer. Nat Rev Clin Oncol. 2020; 17:108–23. https://doi.org/10.1038/s41571-019-0281-6. [PubMed].

49. Varghese AM. Chimeric antigen receptor (CAR) T and other T cell strategies for pancreas adenocarcinoma. Chin Clin Oncol. 2017; 6:66. https://doi.org/10.21037/cco.2017.09.04. [PubMed].

50. Amedei A, Niccolai E, Prisco D. Pancreatic cancer: role of the immune system in cancer progression and vaccine-based immunotherapy. Hum Vaccin Immunother. 2014; 10:3354–68. https://doi.org/10.4161/hv.34392. [PubMed].

51. Beatty GL, O’Hara MH, Lacey SF, Torigian DA, Nazimuddin F, Chen F, Kulikovskaya IM, Soulen MC, McGarvey M, Nelson AM, Gladney WL, Levine BL, Melenhorst JJ, et al. Activity of Mesothelin-Specific Chimeric Antigen Receptor T Cells Against Pancreatic Carcinoma Metastases in a Phase 1 Trial. Gastroenterology. 2018; 155:29–32. https://doi.org/10.1053/j.gastro.2018.03.029. [PubMed].

52. Le DT, Picozzi VJ, Ko AH, Wainberg ZA, Kindler H, Wang-Gillam A, Oberstein P, Morse MA, Zeh HJ 3rd, Weekes C, Reid T, Borazanci E, Crocenzi T, et al. Results from a Phase IIb, Randomized, Multicenter Study of GVAX Pancreas and CRS-207 Compared with Chemotherapy in Adults with Previously Treated Metastatic Pancreatic Adenocarcinoma (ECLIPSE Study). Clin Cancer Res. 2019; 25:5493–502. https://doi.org/10.1158/1078-0432.CCR-18-2992. [PubMed].

53. Middleton G, Silcocks P, Cox T, Valle J, Wadsley J, Propper D, Coxon F, Ross P, Madhusudan S, Roques T, Cunningham D, Falk S, Wadd N, et al. Gemcitabine and capecitabine with or without telomerase peptide vaccine GV1001 in patients with locally advanced or metastatic pancreatic cancer (TeloVac): an open-label, randomised, phase 3 trial. Lancet Oncol. 2014; 15:829–40. https://doi.org/10.1016/S1470-2045(14)70236-0. [PubMed].

54. Nywening TM, Wang-Gillam A, Sanford DE, Belt BA, Panni RZ, Cusworth BM, Toriola AT, Nieman RK, Worley LA, Yano M, Fowler KJ, Lockhart AC, Suresh R, et al. Targeting tumour-associated macrophages with CCR2 inhibition in combination with FOLFIRINOX in patients with borderline resectable and locally advanced pancreatic cancer: a single-centre, open-label, dose-finding, non-randomised, phase 1b trial. Lancet Oncol. 2016; 17:651–62. https://doi.org/10.1016/S1470-2045(16)00078-4. [PubMed].

55. Hsu SK, Jadhao M, Liao WT, Chang WT, Hung CT, Chiu CC. Culprits of PDAC resistance to gemcitabine and immune checkpoint inhibitor: Tumour microenvironment components. Front Mol Biosci. 2022; 9:1020888. https://doi.org/10.3389/fmolb.2022.1020888. [PubMed].

56. Capello M, Vykoukal JV, Katayama H, Bantis LE, Wang H, Kundnani DL, Aguilar-Bonavides C, Aguilar M, Tripathi SC, Dhillon DS, Momin AA, Peters H, Katz MH, et al. Exosomes harbor B cell targets in pancreatic adenocarcinoma and exert decoy function against complement-mediated cytotoxicity. Nat Commun. 2019; 10:254. https://doi.org/10.1038/s41467-018-08109-6. [PubMed].

57. Rhim AD, Oberstein PE, Thomas DH, Mirek ET, Palermo CF, Sastra SA, Dekleva EN, Saunders T, Becerra CP, Tattersall IW, Westphalen CB, Kitajewski J, Fernandez-Barrena MG, et al. Stromal elements act to restrain, rather than support, pancreatic ductal adenocarcinoma. Cancer Cell. 2014; 25:735–47. https://doi.org/10.1016/j.ccr.2014.04.021. [PubMed].

58. Jiang B, Zhou L, Lu J, Wang Y, Liu C, You L, Guo J. Stroma-Targeting Therapy in Pancreatic Cancer: One Coin With Two Sides? Front Oncol. 2020; 10:576399. https://doi.org/10.3389/fonc.2020.576399. [PubMed].

59. Liu HJ, Lizotte PH, Du H, Speranza MC, Lam HC, Vaughan S, Alesi N, Wong KK, Freeman GJ, Sharpe AH, Henske EP. TSC2-deficient tumors have evidence of T cell exhaustion and respond to anti-PD-1/anti-CTLA-4 immunotherapy. JCI Insight. 2018; 3:e98674. https://doi.org/10.1172/jci.insight.98674. [PubMed].

60. Park BV, Freeman ZT, Ghasemzadeh A, Chattergoon MA, Rutebemberwa A, Steigner J, Winter ME, Huynh TV, Sebald SM, Lee SJ, Pan F, Pardoll DM, Cox AL. TGFβ1-Mediated SMAD3 Enhances PD-1 Expression on Antigen-Specific T Cells in Cancer. Cancer Discov. 2016; 6:1366–81. https://doi.org/10.1158/2159-8290.CD-15-1347. [PubMed].

61. Kowanetz M, Zou W, Shames DS, Cummings C, Rizvi N, Spira AI, Frampton GM, Leveque V, Flynn S, Mocci S, Shankar G, Funke R, Ballinger M, et al. Tumor mutation load assessed by FoundationOne (FM1) is associated with improved efficacy of atezolizumab (atezo) in patients with advanced NSCLC. Ann Oncol. 2016 (Suppl 6); 27:vi15–42. https://doi.org/10.1093/annonc/mdw363.25.

62. Goodman AM, Kato S, Bazhenova L, Patel SP, Frampton GM, Miller V, Stephens PJ, Daniels GA, Kurzrock R. Tumor Mutational Burden as an Independent Predictor of Response to Immunotherapy in Diverse Cancers. Mol Cancer Ther. 2017; 16:2598–608. https://doi.org/10.1158/1535-7163.MCT-17-0386. [PubMed].

63. Peng W, Chen JQ, Liu C, Malu S, Creasy C, Tetzlaff MT, Xu C, McKenzie JA, Zhang C, Liang X, Williams LJ, Deng W, Chen G, et al. Loss of PTEN Promotes Resistance to T Cell-Mediated Immunotherapy. Cancer Discov. 2016; 6:202–16. https://doi.org/10.1158/2159-8290.CD-15-0283. [PubMed].

64. Ayers M, Lunceford J, Nebozhyn M, Murphy E, Loboda A, Kaufman DR, Albright A, Cheng JD, Kang SP, Shankaran V, Piha-Paul SA, Yearley J, Seiwert TY, et al. IFN-γ-related mRNA profile predicts clinical response to PD-1 blockade. J Clin Invest. 2017; 127:2930–40. https://doi.org/10.1172/JCI91190. [PubMed].

65. Shen J, Ju Z, Zhao W, Wang L, Peng Y, Ge Z, Nagel ZD, Zou J, Wang C, Kapoor P, Ma X, Ma D, Liang J, et al. ARID1A deficiency promotes mutability and potentiates therapeutic antitumor immunity unleashed by immune checkpoint blockade. Nat Med. 2018; 24:556–62. https://doi.org/10.1038/s41591-018-0012-z. [PubMed].

66. Xiang X, Wang J, Lu D, Xu X. Targeting tumor-associated macrophages to synergize tumor immunotherapy. Signal Transduct Target Ther. 2021; 6:75. https://doi.org/10.1038/s41392-021-00484-9. [PubMed].

67. Mariathasan S, Turley SJ, Nickles D, Castiglioni A, Yuen K, Wang Y, Kadel EE III, Koeppen H, Astarita JL, Cubas R, Jhunjhunwala S, Banchereau R, Yang Y, et al. TGFβ attenuates tumour response to PD-L1 blockade by contributing to exclusion of T cells. Nature. 2018; 554:544–48. https://doi.org/10.1038/nature25501. [PubMed].

68. Gopalakrishnan V, Spencer CN, Nezi L, Reuben A, Andrews MC, Karpinets TV, Prieto PA, Vicente D, Hoffman K, Wei SC, Cogdill AP, Zhao L, Hudgens CW, et al. Gut microbiome modulates response to anti-PD-1 immunotherapy in melanoma patients. Science. 2018; 359:97–103. https://doi.org/10.1126/science.aan4236. [PubMed].

69. Wang Y, Zhang S, Zhang F, Wang L, Wu C, Zhang X, Zhang R, Guo Z. Young patients show poor efficacy for immune checkpoint inhibitor combined therapy in metastatic gastrointestinal cancers. Front Oncol. 2023; 13:1155019. https://doi.org/10.3389/fonc.2023.1155019. [PubMed].

70. Wu Q, Wang Q, Tang X, Xu R, Zhang L, Chen X, Xue Q, Wang Z, Shi R, Wang F, Ju F, Zhang B, Zhou YL. Correlation between patients’ age and cancer immunotherapy efficacy. Oncoimmunology. 2019; 8:e1568810. https://doi.org/10.1080/2162402X.2019.1568810. [PubMed].

71. Castro A, Pyke RM, Zhang X, Thompson WK, Day CP, Alexandrov LB, Zanetti M, Carter H. Strength of immune selection in tumors varies with sex and age. Nat Commun. 2020; 11:4128. https://doi.org/10.1038/s41467-020-17981-0. [PubMed].

72. Kugel CH 3rd, Douglass SM, Webster MR, Kaur A, Liu Q, Yin X, Weiss SA, Darvishian F, Al-Rohil RN, Ndoye A, Behera R, Alicea GM, Ecker BL, et al. Age Correlates with Response to Anti-PD1, Reflecting Age-Related Differences in Intratumoral Effector and Regulatory T-Cell Populations. Clin Cancer Res. 2018; 24:5347–56. https://doi.org/10.1158/1078-0432.CCR-18-1116. [PubMed].

73. Topalian SL, Hodi FS, Brahmer JR, Gettinger SN, Smith DC, McDermott DF, Powderly JD, Carvajal RD, Sosman JA, Atkins MB, Leming PD, Spigel DR, Antonia SJ, et al. Safety, activity, and immune correlates of anti-PD-1 antibody in cancer. N Engl J Med. 2012; 366:2443–54. https://doi.org/10.1056/NEJMoa1200690. [PubMed].

74. Rosenberg JE, Hoffman-Censits J, Powles T, van der Heijden MS, Balar AV, Necchi A, Dawson N, O’Donnell PH, Balmanoukian A, Loriot Y, Srinivas S, Retz MM, Grivas P, et al. Atezolizumab in patients with locally advanced and metastatic urothelial carcinoma who have progressed following treatment with platinum-based chemotherapy: a single-arm, multicentre, phase 2 trial. Lancet. 2016; 387:1909–20. https://doi.org/10.1016/S0140-6736(16)00561-4. [PubMed].

75. Muller M, Schouten RD, De Gooijer CJ, Baas P. Pembrolizumab for the treatment of non-small cell lung cancer. Expert Rev Anticancer Ther. 2017; 17:399–409. https://doi.org/10.1080/14737140.2017.1311791. [PubMed].

76. Reck M, Rodríguez-Abreu D, Robinson AG, Hui R, Csőszi T, Fülöp A, Gottfried M, Peled N, Tafreshi A, Cuffe S, O’Brien M, Rao S, Hotta K, et al, and KEYNOTE-024 Investigators. Pembrolizumab versus Chemotherapy for PD-L1-Positive Non-Small-Cell Lung Cancer. N Engl J Med. 2016; 375:1823–33. https://doi.org/10.1056/NEJMoa1606774. [PubMed].

77. Fridman WH, Pagès F, Sautès-Fridman C, Galon J. The immune contexture in human tumours: impact on clinical outcome. Nat Rev Cancer. 2012; 12:298–306. https://doi.org/10.1038/nrc3245. [PubMed].

78. Reche PA, Reinherz EL. Sequence variability analysis of human class I and class II MHC molecules: functional and structural correlates of amino acid polymorphisms. J Mol Biol. 2003; 331:623–41. https://doi.org/10.1016/s0022-2836(03)00750-2. [PubMed].

79. Parham P, Lomen CE, Lawlor DA, Ways JP, Holmes N, Coppin HL, Salter RD, Wan AM, Ennis PD. Nature of polymorphism in HLA-A, -B, and -C molecules. Proc Natl Acad Sci U S A. 1988; 85:4005–9. https://doi.org/10.1073/pnas.85.11.4005. [PubMed].

80. Chowell D, Morris LGT, Grigg CM, Weber JK, Samstein RM, Makarov V, Kuo F, Kendall SM, Requena D, Riaz N, Greenbaum B, Carroll J, Garon E, et al. Patient HLA class I genotype influences cancer response to checkpoint blockade immunotherapy. Science. 2018; 359:582–87. https://doi.org/10.1126/science.aao4572. [PubMed].

81. Zitvogel L, Ma Y, Raoult D, Kroemer G, Gajewski TF. The microbiome in cancer immunotherapy: Diagnostic tools and therapeutic strategies. Science. 2018; 359:1366–70. https://doi.org/10.1126/science.aar6918. [PubMed].

82. Matson V, Fessler J, Bao R, Chongsuwat T, Zha Y, Alegre ML, Luke JJ, Gajewski TF. The commensal microbiome is associated with anti-PD-1 efficacy in metastatic melanoma patients. Science. 2018; 359:104–108. https://doi.org/10.1126/science.aao3290. [PubMed].

83. Chaput N, Lepage P, Coutzac C, Soularue E, Le Roux K, Monot C, Boselli L, Routier E, Cassard L, Collins M, Vaysse T, Marthey L, Eggermont A, et al. Baseline gut microbiota predicts clinical response and colitis in metastatic melanoma patients treated with ipilimumab. Ann Oncol. 2017; 28:1368–79. https://doi.org/10.1093/annonc/mdx108. [PubMed].

84. Yap T, Araujo D, Wood D, Denis JF, Gruosso T, Tremblay G, McCourt MOC, Ghosh R, Sinclair S, Nadler P, Siu L, Lakhani N. P856 AVID200, first-in-class TGF-beta1 and beta3 selective inhibitor: results of a phase 1 monotherapy dose escalation study in solid tumors and evidence of target engagement in patients. J Immunother Cancer. 2020 (Suppl 1); 8:A1–12. https://doi.org/10.1136/lba2019.10.

85. Spranger S, Bao R, Gajewski TF. Melanoma-intrinsic β-catenin signalling prevents anti-tumour immunity. Nature. 2015; 523:231–35. https://doi.org/10.1038/nature14404. [PubMed].

86. Balatoni T, Ladányi A, Fröhlich G, Czirbesz K, Kovács P, Pánczél G, Bence E, Plótár V, Liszkay G. Biomarkers Associated with Clinical Outcome of Advanced Melanoma Patients Treated with Ipilimumab. Pathol Oncol Res. 2020; 26:317–25. https://doi.org/10.1007/s12253-018-0466-9. [PubMed].

87. Jiang T, Qiao M, Zhao C, Li X, Gao G, Su C, Ren S, Zhou C. Pretreatment neutrophil-to-lymphocyte ratio is associated with outcome of advanced-stage cancer patients treated with immunotherapy: a meta-analysis. Cancer Immunol Immunother. 2018; 67:713–27. https://doi.org/10.1007/s00262-018-2126-z. [PubMed].

88. Ferrucci PF, Ascierto PA, Pigozzo J, Del Vecchio M, Maio M, Antonini Cappellini GC, Guidoboni M, Queirolo P, Savoia P, Mandalà M, Simeone E, Valpione S, Altomonte M, et al. Baseline neutrophils and derived neutrophil-to-lymphocyte ratio: prognostic relevance in metastatic melanoma patients receiving ipilimumab. Ann Oncol. 2018; 29:524. https://doi.org/10.1093/annonc/mdx059. [PubMed].

89. Bilen MA, Dutcher GMA, Liu Y, Ravindranathan D, Kissick HT, Carthon BC, Kucuk O, Harris WB, Master VA. Association Between Pretreatment Neutrophil-to-Lymphocyte Ratio and Outcome of Patients With Metastatic Renal-Cell Carcinoma Treated With Nivolumab. Clin Genitourin Cancer. 2018; 16:e563–75. https://doi.org/10.1016/j.clgc.2017.12.015. [PubMed].

90. Bagley SJ, Kothari S, Aggarwal C, Bauml JM, Alley EW, Evans TL, Kosteva JA, Ciunci CA, Gabriel PE, Thompson JC, Stonehouse-Lee S, Sherry VE, Gilbert E, et al. Pretreatment neutrophil-to-lymphocyte ratio as a marker of outcomes in nivolumab-treated patients with advanced non-small-cell lung cancer. Lung Cancer. 2017; 106:1–7. https://doi.org/10.1016/j.lungcan.2017.01.013. [PubMed].

91. Menyhárt O, Győrffy B. Multi-omics approaches in cancer research with applications in tumor subtyping, prognosis, and diagnosis. Comput Struct Biotechnol J. 2021; 19:949–60. https://doi.org/10.1016/j.csbj.2021.01.009. [PubMed].

92. Hodi FS, Ballinger M, Lyons B, Soria JC, Nishino M, Tabernero J, Powles T, Smith D, Hoos A, McKenna C, Beyer U, Rhee I, Fine G, et al. Immune-Modified Response Evaluation Criteria In Solid Tumors (imRECIST): Refining Guidelines to Assess the Clinical Benefit of Cancer Immunotherapy. J Clin Oncol. 2018; 36:850–58. https://doi.org/10.1200/JCO.2017.75.1644. [PubMed].

93. Harris PA, Taylor R, Thielke R, Payne J, Gonzalez N, Conde JG. Research electronic data capture (REDCap)--a metadata-driven methodology and workflow process for providing translational research informatics support. J Biomed Inform. 2009; 42:377–81. https://doi.org/10.1016/j.jbi.2008.08.010. [PubMed].

94. Klimstra DS, Pitman MB, Hruban RH. An algorithmic approach to the diagnosis of pancreatic neoplasms. Arch Pathol Lab Med. 2009; 133:454–64. https://doi.org/10.5858/133.3.454. [PubMed].

95. Basch E, Reeve BB, Mitchell SA, Clauser SB, Minasian LM, Dueck AC, Mendoza TR, Hay J, Atkinson TM, Abernethy AP, Bruner DW, Cleeland CS, Sloan JA, et al. Development of the National Cancer Institute’s patient-reported outcomes version of the common terminology criteria for adverse events (PRO-CTCAE). J Natl Cancer Inst. 2014; 106:dju244. https://doi.org/10.1093/jnci/dju244. [PubMed].

96. Eisenhauer EA, Therasse P, Bogaerts J, Schwartz LH, Sargent D, Ford R, Dancey J, Arbuck S, Gwyther S, Mooney M, Rubinstein L, Shankar L, Dodd L, et al. New response evaluation criteria in solid tumours: revised RECIST guideline (version 1.1). Eur J Cancer. 2009; 45:228–47. https://doi.org/10.1016/j.ejca.2008.10.026. [PubMed].