INTRODUCTION
Lung cancer is the leading cause of death due to cancer. Molecular testing revealed the EML4-ALK fusion protein in approximately 5% of patients with non-small cell lung cancer [1, 2]. As anaplastic lymphoma kinase (ALK)-tyrosine kinase inhibitors (TKIs) dramatically improve progression-free survival compared to cytotoxic agents [3–6], ALK-TKIs are commonly used for ALK fusion protein-positive non-small cell lung cancer unless the tumor becomes resistant to the drug.
Leukocytoclastic vasculitis (LCV) is a rare complication during cancer treatment. It is associated with chronic infection, drugs and para-neoplastic syndrome. When diagnosing LCV during cancer treatment, it is very important to determine whether the vasculitis is associated with cancer drugs, especially driver mutation targeted drugs, which are the most important drugs for the patients, and whether rechallenge with the drug can be done safely. Some reports have shown safe rechallenge with epidermal growth factor receptor (EGFR)-TKIs after LCV that occurred during EGFR-TKI therapy. However, there are no previous reports of LCV associated with ALK-TKIs; this is the first report of safe rechallenge with ceritinib after LCV.
CASE PRESENTATION
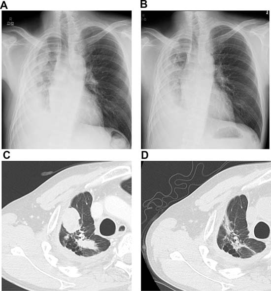
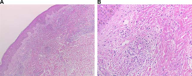
A 40-year-old Japanese man presented to our hospital with pulmonary adenocarcinoma. He had been diagnosed with adenocarcinoma 2 years ago, and RNA sequencing revealed the presence of the EML4-ALK fusion protein. When he was diagnosed, he rejected all our recommendations for chemotherapy including ALK-TKI and he stopped his annual visits to our clinic. Six months after the initial diagnosis, he presented to our hospital with dyspnea due to cardiac tamponade and pleural effusion. He received pericardiocentesis and thoracentesis, and he agreed to start crizotinib treatment (250 mg, twice daily). One month after the initiation of crizotinib, a computed tomography (CT) scan showed decreased pleural and pericardial effusion and shrinkage of the primary lesion. Ten months after the initiation of crizotinib, progressive disease (PD) was detected considering the enlargement of the primary lesion. Therefore, alectinib (300 mg, twice daily) was administered as second-line treatment, and a CT scan showed a partial response. Fourteen months after the initiation of alectinib, PD was detected again as an enlargement of the primary lesion. We continued alectinib until ceritinib was launched in Japan. One month after the PD detection, we switched to ceritinib (750 mg once daily) and the CT scan showed a partial response (Figure 1). Ten days after initiating ceritinib, palpable purpura was observed (Figure 2). The test results for myeloperoxidase-anti-neutrophil cytoplasmic antibody (MPO-ANCA) and proteinase 3 anti-neutrophil cytoplasmic antibody (PR3-ANCA) were negative. Skin biopsy showed LCV (Figure 3A–3B). IgA deposition was negative. Because ceritinib was the only drug we started one month before the onset of LCV, we suspected this was associated with ceritinib. We recommended withdrawal of ceritinib to the patient, however, he rejected it and therefore we continued ceritinib for another month. During this period, the purpura gradually improved, although, the patient caught a common cold and proteinuria was observed. We could not continue the drug as the patient was at risk for developing kidney vasculitis and he agreed. We therefore withdrew only ceritinib until the purpura improved. Four weeks after withdrawal, we confirmed the disappearance of the purpura and performed a rechallenge with ceritinib at the usual dose (750 mg once daily) without using any immunosuppressants. Although slight re-exacerbation of purpura was observed, it disappeared quickly, and the tumor response was maintained for 9 months after the rechallenge. Now he has been receiving carboplatin (area under the concentration-time curve 5), pemetrexed (500 mg/m2) and bevacizumab (15 mg/kg) therapy without relapse of LCV.

Figure 1: (A, C) Chest radiograph and computed tomography scan before starting ceritinib. (B, D) Chest radiograph and computed tomography scan after ceritinib treatment.

Figure 2: (A, B) Palpable purpura on the lower extremities.

Figure 3: Pathological findings of the skin biopsy sample demonstrating leukocytoclastic vasculitis. (A) Hematoxylin and eosin staining (×40). (B) Hematoxylin and eosin staining (×400).
DISCUSSION
This case had two important clinical characteristics. First, this is the first case of LCV during ALK-TKI treatment. Second, we safely performed rechallenge with ceritinib after LCV during ceritinib treatment.
LCV is vasculitis of the small vessels in which the inflammatory infiltrate is composed of neutrophils that release nuclear debris, i.e., leukocytoclasia. The development of LCV is associated with both immune complex deposition and hypersensitivity to a suspected drug. Examples of immune complex deposition related to disease include cryoglobulinemic vasculitis related to hepatitis C, systemic lupus erythematosus, IgA vasculitis, and paraneoplastic syndrome. Several potential reasons have been proposed for the mechanism of paraneoplastic vasculitis [7]. One hypothesis is that abnormal production of antibodies and tumor neoantigens lead to the formation of immune complexes that deposit within blood vessel walls. In this case, it is plausible that rapid and massive tumor apoptosis due to ceritinib treatment led to neoantigen release and immune complexes deposition. The purpura gradually improved after the onset of LCV despite continuation of ceritinib. It was possibly associated with immune complex clearance through blood vessels. In addition, a slight re-exacerbation and quick disappearance of purpura, which were observed after rechallenge of ceritinib. may have been associated with increased tumor burden due to withdrawal of ceritinib for 4 weeks and rapid and massive apoptosis due to ceritinib rechallenge. LCV may be a putative manifestation of drug efficacy. Brandi et al. also reported on this possibility [8].
As examples of hypersensitivity to a drug related to LCV, propylthiouracil, hydralazine, colony-stimulating factors, and allopurinol have been most often implicated as a causative drug for drug-induced LCV [9–12]. Although the mechanism of LCV development remains unclear, one hypothesis suggests that activated neutrophils in the presence of hydrogen peroxidase release MPO from their granules, chemically transform the drug to an immunogenic product for T cells, which in turn activate B cells to produce ANCA [13]. That is why multispecific ANCA is common in drug-induced LCV unlike idiopathic autoimmune vasculitis [11, 14]. In some cases, vasculitis occurred after drug dosage increases and after rechallenge with the suspected drug [12]. In this case, we safely performed rechallenge with ceritinib and ANCA was negative, which suggests that this is a case of LCV not associated with hypersensitivity to ceritinib but associated with neoantigen release and immune complexes deposition.
Some LCV cases during non-small cell lung cancer (NSCLC) treatment have been reported to date (Table 1) [15–26]. In most cases, LCV developed 1–2 months after the initiation of EGFR-TKI and skin purpura improved within a month after withdrawal EGFR-TKI, similar to our case. Regarding EGFR-TKI treatment, 1 LCV case during gefitinib treatment for adenoid cystic carcinoma of the maxilla [27] and 2 LCV cases during erlotinib treatment for hepatocellular carcinoma were reported [8, 28]. However, in most of the cases, the dose of the suspected drug, gefitinib or erlotinib, was reduced [15, 17, 19, 20] or the drug was discontinued [16, 21], and in only 2 cases, successful rechallenge at a normal dose was reported [18, 19]. Regarding the cytotoxic drugs, pemetrexed, gemcitabine, etoposide, and docetaxel were reported to be a causative drug for LCV. Although significantly more patients have received cytotoxic chemotherapy than EGFR-TKIs, more LCV cases have been reported to date with use of EGFR-TKIs. This suggests an association between rapid tumor apoptosis as well as the EGFR-TKI’s target (EGFR) and the development of LCV. If the LCV truly developed with hypersensitivity to the causative drug, it is very difficult to avoid LCV relapse only by reducing the dose or by providing intermittent administration of the drug. Both seropositive LCV cases [16] and seronegative LCV cases [20] during EGFR-TKI treatment have been reported. LCV cases during EGFR-TKI treatment include both paraneoplastic vasculitis and hypersensitivity related vasculitis. Ota et al. reported a LCV case during NSCLC treatment, in which LCV developed as a paraneoplastic vasculitis along with disease progression [26].
Table 1: Published cases of leukocytoclastic vasculitis cases during non-small cell lung cancer treatment
Age, gender |
Drug |
Time to onset |
Treatment |
Prognosis |
Duration of the symptom |
Rechallenge, dose |
Author |
|---|---|---|---|---|---|---|---|
68, Female |
erlotinib |
10 weeks |
dose reduction, topical steroid |
cure |
unknown |
Yes, reduced dose |
Yuba et al. [15] |
69, Female |
erlotinib |
8 weeks |
withdrawal topical steroid |
cure |
2 weeks |
No |
Takahashi et al. [16] |
78, Female |
erlotinib |
80 days |
withdrawal |
cure |
2 weeks |
Yes, reduced dose |
Sawada et al. [20] |
50, Female |
erlotinib + bevacizumab |
6 weeks |
withdrawal |
cure |
7 weeks |
Yes, reduced dose |
Su et al. [17] |
52, Female |
gefitinib |
2 months |
topical steroid |
cure |
unknown |
Yes, normal dose |
Nozato et al. [18] |
74, Female |
gefitinib |
1 month |
withdrawal |
cure |
2 weeks |
Yes, intermittently |
Uchimiya et al. [19] |
76, Female |
gefitinib |
2 months |
withdrawal |
cure |
17 days |
Yes, normal dose |
Uchimiya et al. [19] |
76, Female |
gefitinib |
2.5 months |
withdrawal systemic steroid |
cure |
2 weeks |
No |
Kurokawa et al. [21] |
68, Male |
pemetrexed |
5 weeks |
withdrawal systemic steroid |
cure |
3 days |
unknown |
Lopes et al. [22] |
45, Male |
gemcitabine |
6 weeks |
withdrawal systemic steroid colchicine |
cure |
10 days |
No |
Voorburg et al. [23] |
79, Male |
gemcitabine + carboplatin |
8 days |
withdrawal systemic steroid diphenhydramine |
cure |
15 days |
No |
Corella et al. [24] |
61, Male |
etoposide |
10 days |
withdrawal |
cure |
unknown |
unknown |
Turken et al. [25] |
50, Male |
docetaxel |
after 12 cycles |
withdrawal systemic steroid |
cure |
promptly resolved |
No |
Ota et al. [26] |
In most cases, leukocytoclastic vasculitis developed 1–2 months after the initiation of causative drug and skin purpura improved within a month after withdrawal and/or systemic steroid.
Drug-induced LCV is sometimes life-threatening if the suspected drug is continued [12]. It is very difficult but important to distinguish drug-induced vasculitis from paraneoplastic vasculitis. The interval between the first exposure and appearance of symptoms has been reported to be extremely variable (hours to years) [12]. Serological surveys, especially for ANCA, may help to distinguish between the types of vasculitis [11]. If the result for ANCA is negative, a rechallenge with the suspected drug should be considered.
CONCLUSIONS
To the best of our knowledge, we report the first case of LCV during ALK-TKI treatment. However, after this occurrence, we were able to safely perform rechallenge with ceritinib. From this case, we learned that key drugs should not be discontinued without careful consideration, and we should contemplate the possibility of rechallenge.
Abbreviations
EML4: Echinoderm microtubule-associated protein-like 4; ALK: Anaplastic lymphoma kinase; TKI: tyrosine kinase inhibitor; LCV: leukocytoclastic vasculitis; EGFR: epidermal growth factor receptor; PD: progressive disease; CT: computed tomography; MPO-ANCA: myeloperoxidase-anti-neutrophil cytoplasmic antibody; PR3-ANCA: proteinase 3 anti-neutrophil cytoplasmic antibody.
ACKNOWLEDGMENTS
We would like to thank Editage (www.editage.jp) for English language editing. We wish to thank Dr. Nagase for commenting on the pathological findings.
CONFLICTS OF INTEREST
The authors declare that there are no conflicts of interest.
REFERENCES
1. Soda M, Choi YL, Enomoto M, Takada S, Yamashita Y, Ishikawa S, Fujiwara S, Watanabe H, Kurashina K, Hatanaka H, Bando M, Ohno S, Ishikawa Y, et al. Identification of the transforming EML4-ALK fusion gene in non-small-cell lung cancer. Nature. 2007; 448:561–6. https://doi.org/10.1038/nature05945.
2. Blackhall FH, Peters S, Bubendorf L, Dafni U, Kerr KM, Hager H, Soltermann A, O’Byrne KJ, Dooms C, Sejda A, Hernandez-Losa J, Marchetti A, Savic S, et al. Prevalence and clinical outcomes for patients with ALK-positive resected stage I to III adenocarcinoma: results from the European Thoracic Oncology Platform Lungscape Project. J Clin Oncol. 2014; 32:2780–7. https://doi.org/10.1200/JCO.2013.54.5921.
3. Solomon BJ, Mok T, Kim DW, Wu YL, Nakagawa K, Mekhail T, Felip E, Cappuzzo F, Paolini J, Usari T, Iyer S, Reisman A, Wilner KD, et al. First-line crizotinib versus chemotherapy in ALK-positive lung cancer. N Engl J Med. 2014; 371:2167–77. https://doi.org/10.1056/NEJMoa1408440.
4. Shaw AT, Kim DW, Nakagawa K, Seto T, Crino L, Ahn MJ, De Pas T, Besse B, Solomon BJ, Blackhall F, Wu YL, Thomas M, O’Byrne KJ, et al. Crizotinib versus chemotherapy in advanced ALK-positive lung cancer. N Engl J Med. 2013; 368:2385–94. https://doi.org/10.1056/NEJMoa1214886.
5. Peters S, Camidge DR, Shaw AT, Gadgeel S, Ahn JS, Kim DW, Ou SI, Perol M, Dziadziuszko R, Rosell R, Zeaiter A, Mitry E, Golding S, et al. Alectinib versus Crizotinib in Untreated ALK-Positive Non-Small-Cell Lung Cancer. N Engl J Med. 2017; 377:829–38. https://doi.org/10.1056/NEJMoa1704795.
6. Hida T, Nokihara H, Kondo M, Kim YH, Azuma K, Seto T, Takiguchi Y, Nishio M, Yoshioka H, Imamura F, Hotta K, Watanabe S, Goto K, et al. Alectinib versus crizotinib in patients with ALK-positive non-small-cell lung cancer (J-ALEX): an open-label, randomised phase 3 trial. Lancet. 2017; 390:29–39. https://doi.org/10.1016/s0140-6736(17)30565-2.
7. Mitsui H, Shibagaki N, Kawamura T, Matsue H, Shimada S. A clinical study of Henoch-Schonlein Purpura associated with malignancy. J Eur Acad Dermatol Venereol. 2009; 23:394–401. https://doi.org/10.1111/j.1468-3083.2008.03065.x.
8. Brandi G, Venturi M, Dika E, Maibach H, Patrizi A, Biasco G. Cutaneous leukocytoclastic vasculitis due to erlotinib: just an adverse event or also a putative marker of drug efficacy? Cutan Ocul Toxicol. 2013; 32:336–8. https://doi.org/10.3109/15569527.2013.780179.
9. Mullick FG, McAllister HA Jr, Wagner BM, Fenoglio JJ Jr. Drug related vasculitis. Clinicopathologic correlations in 30 patients. Hum Pathol. 1979; 10:313–25.
10. Martinez-Taboada VM, Blanco R, Garcia-Fuentes M, Rodriguez-Valverde V. Clinical features and outcome of 95 patients with hypersensitivity vasculitis. Am J Med. 1997; 102:186–91.
11. Radic M, Martinovic Kaliterna D, Radic J. Drug-induced vasculitis: a clinical and pathological review. Neth J Med. 2012; 70:12–7.
12. ten Holder SM, Joy MS, Falk RJ. Cutaneous and systemic manifestations of drug-induced vasculitis. Ann Pharmacother. 2002; 36:130–47. https://doi.org/10.1345/aph.1A124.
13. Jiang X, Khursigara G, Rubin RL. Transformation of lupus-inducing drugs to cytotoxic products by activated neutrophils. Science. 1994; 266:810–3.
14. Gao Y, Zhao MH, Guo XH, Xin G, Wang HY. The prevalence and target antigens of antithyroid drugs induced antineutrophil cytoplasmic antibodies (ANCA) in Chinese patients with hyperthyroidism. Endocr Res. 2004; 30:205–13.
15. Yuba T, Nagata K, Shiotsu S, Okano A, Hatsuse M, Murakami S, Morihara K, Shimazaki C. [Henoch-schonlein purpura induced by erlotinib (Tarceva): a case report] [Article in Japanese]. Nihon Kokyuki Gakkai Zasshi. 2010; 48:81–5.
16. Takahashi Y, Ebi N, Yamaguchi O, Fukusho R, Sugimoto Y, Tsuruno K. [A case of cutaneous vasculitis caused by erlotinib treatment and a review of literature] [Article in Japanese]. Nihon Kokyuki Gakkai Zasshi. 2011; 49:663–6.
17. Su BA, Shen WL, Chang ST, Feng LY, Wu CJ, Feng YH. Successful rechallenge with reduced dose of erlotinib in a patient with lung adenocarcinoma who developed erlotinib-associated leukocytoclastic vasculitis: A case report. Oncol Lett. 2012; 3:1280–2. https://doi.org/10.3892/ol.2012.647.
18. Nozato K, Morishima Y, Furuta J, Fujita J, Miyazaki K, Ogawa R, Kikuchi N, Sakamoto T, Hizawa N. [A case of Henoch-Schonlein purpura which was difficult to distinguish from a skin rash associated with gefitinib] [Article in Japanese]. Nihon Kokyuki Gakkai Zasshi. 2010; 48:529–34.
19. Uchimiya H, Higashi Y, Kawai K, Kanekura T. Purpuric drug eruption with leukocytoclastic vasculitis due to gefitinib. J Dermatol. 2010; 37:562–4. https://doi.org/10.1111/j.1346-8138.2010.00896.x.
20. Sawada T, Suehiro M, Hiranuma O. Cutaneous Leukocytoclastic Vasculitis Associated with Erlotinib. Indian J Dermatol. 2016; 61: 238. https://doi.org/10.4103/0019-5154.177793.
21. Kurokawa I, Endo K, Hirabayashi M. Purpuric drug eruption possibly due to gefinitib (Iressa). Int J Dermatol. 2005; 44:167–8. https://doi.org/10.1111/j.1365-4632.2005.02185.x.
22. Lopes G, Vincek V, Raez LE. Pemetrexed-associated urticarial vasculitis. Lung Cancer. 2006; 51:247–9. https://doi.org/10.1016/j.lungcan.2005.10.008.
23. Voorburg AM, van Beek FT, Slee PH, Seldenrijk CA, Schramel FM. Vasculitis due to gemcitabine. Lung Cancer. 2002; 36:203–5.
24. Corella F, Dalmau J, Roe E, Garcia-Navarro X, Alomar A. Cutaneous vasculitis associated with gemcitabine therapy. Clin Exp Dermatol. 2009; 34:97–9. https://doi.org/10.1111/j.1365-2230.2008.03014.x.
25. Turken O, Karagoz B, Bilgi O, Dogan B, Kandemir EG, Kunter E. Oral etoposide-induced leucocytoclastic vasculitis in a patient with lung carcinoma. J Eur Acad Dermatol Venereol. 2007; 21:1297–8. https://doi.org/10.1111/j.1468-3083.2007.02200.x.
26. Ota S, Haruyama T, Ishihara M, Natsume M, Fukasawa Y, Sakamoto T, Tanzawa S, Usui R, Honda T, Ichikawa Y, Watanabe K, Sasajima Y, Seki N. A Case of Paraneoplastic IgA Vasculitis in an Adult with Lung Adenocarcinoma. Intern Med. 2017 Dec 27. https://doi.org/10.2169/internalmedicine.9651-17. [Epub ahead of print].
27. Fernandez-Guarino M, Ryan AM, Perez-Garcia B, Gonzalez-Lopez C, Olasolo PJ. Necrotizing vasculitis due to gefitinib (Iressa). Int J Dermatol. 2007; 46:890–1. https://doi.org/10.1111/j.1365-4632.2007.03275.x.
28. Boeck S, Wollenberg A, Heinemann V. Leukocytoclastic vasculitis during treatment with the oral EGFR tyrosine kinase inhibitor erlotinib. Ann Oncol. 2007; 18:1582–3. https://doi.org/10.1093/annonc/mdm420.