INTRODUCTION
Epstein Barr Virus (EBV) related Nasopharyngeal Carcinoma (NPC), while rare in most of the world, is an endemic malignancy in southeast Asia [1]. Despite being highly chemo- and radiosensitive [2], more than one third of locally advanced cases relapse after curative treatment, especially because of bone, liver and lung metastases [3, 4].
Althought NPC express viral antigens (e.g. LMP1 and EBNA) [5], as in many other virus related tumors the immune system does not play an active role contrasting tumor growth and spread. For instance, there is evidence that lymphocyte sub-populations favour EBV-associated carcinogenesis and tumour progression [6]. Several strategies aim to reverse this phenomenon, such as restoring CD8+ T cell response via Tregs depletion to recreate an effective antitumor immunologic environment [7] or EBV-targeted cell therapy with autologous virus-specific cytotoxic T lymphocytes [8].
Receptor activator of NF-kB (RANK) and its Ligand (RANKL) are key regulators of bone metabolisms, especially in the metastatic nice, where they interact with the immune microenvironment [9–11]. In several malignancies, such as breast, prostate cancer and osteosarcoma, RANK/RANKL expression has been found on both primary and metastatic cells [12–15], as well as in tumor-infiltrating Tregs, known for inhibiting antitumoral immunity [16–17]. Furthermore, in a non-cancer context, it has been reported that RANKL and RANK signals are implicated in Treg cell expansion [18, 19].
All these premeses lead to the hypothesis that targeting the RANK/RANKL pathway with denosumab, an already available, clinically approved monoclonal antibody for metastatic bone lesions, might restore proper anti-tumor immune response in NPC metastatic patients. In order to provide data supporting this hypothesis, we evaluated whether EBV related NPC primary and metastatic tissue present RANK expression.
RESULTS
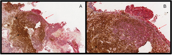
Primary lesions analysed with RANK IHC showed strong background staining due to the lymphatic infiltrate present in the specimens that prevented the differential evaluation of the proper tumor staining. In order to evidentiate the lymphatic infiltrate, double staining for pooled CD3/CD20 and RANK was performed on NPC primary and metastatic lesion. Furthermore, we performed the same double staining on primary and nodal breast cancer lesion to provide a positive control. Nevertheless, aspecific RANK staining characterized the NPC spacimens (Figure 1), with uncertian resultes despite several attempts with different technical approach.

Figure 1: (A-B) RANK (red arrows) and CD3/CD20 (black arrows) double staining of primary nasopharyngheal carcionoma. RANK expression is evident in normal nasopharyngeal cells while tumor cells, surrounded by lymphoid infiltrate, present with weak stining.
Specimens from nodal or metastatic cases had the following distributions: neck or metastatic nodes 7/19 (37%); liver 5/19 (26%); lung 3/19 (16%); bone 2/19 (10,5%); soft tissue 2/19 (10,5%) (Table 1). Two cases resulted not evaluable due to tissue necrosis or strong background staining from nodes lymphocytes. All other metastatic specimens, regardless of sites, showed high RANK IHC expression in the tumor with no staining in normal surrounding tissues (Figures 2-4).

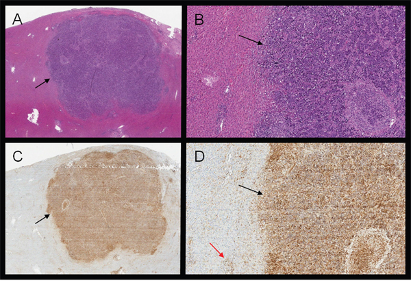
Figure 2: (A-B) H&E of liver biopsy showing NPC localization. (C-D) RANK IHC; positive areas of RANK expression overlaps with NPC cells (black arrows), while Kupfer cells (red arrow) in normal liver tissue represents positive internal control.

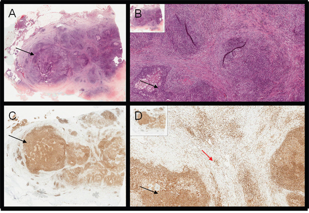
Figure 3: (A-B) H&E of lymph node metastasis of NPC; (C-D) corresponding RANK staining (black arrows); white cells provide the positive internal control in the context of neoplastic island (red arrow).

Figure 4: H&E (A-B) and RANK positive staining (C-D) of NPC lung metastasis.
Table 1: Spacimens distribution and staining results
Case # |
REC/MTS |
Tissue Analysed |
Rank IHC |
|---|---|---|---|
1 |
REC |
NODE |
POS |
2 |
REC |
NODE |
POS |
3 |
REC |
NODE |
POS |
4 |
REC |
NODE |
NOT EVALUABLE* |
5 |
MTS |
NODE |
NOT EVALUABLE ** |
6 |
MTS |
NODE |
POS |
7 |
REC |
NODE |
POS |
8 |
REC |
LIVER |
POS |
9 |
MTS |
LIVER |
POS |
10 |
MTS |
LIVER |
POS |
11 |
MTS |
LIVER |
POS |
12 |
MTS |
LIVER |
POS |
13 |
REC |
NECK SOFT TISSUE |
POS |
14 |
REC |
NECK SOFT TISSUE |
POS |
15 |
MTS |
LUNG |
POS |
16 |
MTS |
LUNG |
POS |
17 |
MTS |
LUNG |
POS |
* too much background staining from lymphoid infiltrate; ** necrosis.
DISCUSSION
We documented RANK expression by NPC metastatic tissue via IHC. This observation deserves further clarifications. An area worth investigation would be the possibility to determine RANK expression in primary lesion of localised disease at presentation and the correlation with prognosis. Indeed, this evaluatoin might lead to the identification of RANK as a possible marker of more aggressive disease, highlighting the implication of RANK pathway in disease progression and the metastatic process. Primary lesion evaluation could also beter select a population with locoregionally advanced neoplasia who would benefit from adjuvant treatment.
We encountered difficulties in RANK determination on primary lesion, and this represents a limitation of the present study. We addressed this issue by performing a double staining to differentiate the tumor and the lymphoid infiltrate, with equivocal results.
Although the present study does not throughtly explore the relationship between the immune context and RANK expression by nasopharyngeal carcinoma, we consider safe to assume that the already known links between RANK/RANKL pathway and Treg in neoplastic context can be extended also to nasopharyngeal pathology, given the established role of Treg in NPC tumorogenesis and progression [24–26] and our newly highlighted connection between NPC and RANK.
Our results are consistent with other observation in different pathology. Indeed, breast and prostate cancer, as well as osteosarcoma, has shown RANK/RANKL expression on both primary and metastatic cells [2, 3]. Furthermore, our results appears to be solid, even on a small sample size, given the 100% positive RANK staining on evaluable samples.
Lastly, the greatest implication of our observation is the availability of a safe and already approved drug to target RANK/RANKL pathway, with potential clinical benefit behind bone tournover. Our early results could open the way to trials aimed at reinforcing immunological response against the tumor through the blockage of Tregs regulated by RANKL, providing a clinical benefit as reported in other diseases [20–23]. In light of the data recently published in melanoma regarding the potential synergistic effect of anti-CTLA4 and anti-RANKL drugs described in preclinical model [24], our observation could open the possibility for a clinical trial invastigatig the combination of immunotherapeutic agents plus anti-RANKL drug also in metastatic nasopharyngeal cancer. Early clinical data have already shown that checkpoint inhibition like pembrolizumab provide benefits in a subset of metastatic NPC. Therefore, combining more immune-modulating agents might prove to be a useful, novel strategies.
In conclusion, we consider that these simple but thrustable observations could offer a strategy for unlocking anti tumor immunity, providing a possible new treatment opportunity in virally-driven NPC patients.
MATERIALS AND METHODS
We conducted a retrospective analysis collecting 17 paired FFPE specimen of primary and metachronous metastatic or regionally relapsed EBV-related NPC treated in our Institution.
Rank was identified through samples fixed in 4% neutral buffered formaldehyde. Representative tumor blocks were sectioned at 3μ thickness. IHC was performed by the EnVision FLEX+, mouse, hight pH (Link) method (Dako Denmark A/S Produktionsvej 42 DK-2600 Glostrup) with Dako Autostainer Link48. A mouse monoclonal antibody against RANK protein (clone 80707, R&D Systems, Inc., Minneapolis, MN) was used at a concentration of 25 μg/ml. 3-3’-Diaminobenzidine (DAB) was used for color development and Mayer’s hematoxylin was used for counterstaining.
In order to address the differential evaluation of RANK staining in primary lesions and lymphatic infiltrate, we selected two NPC cases as well as two breast cancer cases as positive control. On these saples, double staining for pooled CD3/CD20 and RANK was performed on NPC and breast cancer tissue to evidentiate the lymphoid infiltrate (CD3/CD20 Dako Denmark A/S Produktionsvej 42 DK-2600 Glostrup). 3-3’-Diaminobenzidine (DAB) was used for CD3/CD20 color development, warp red Chromogen Kit for RANK stainig and Mayer’s hematoxylin was used for counterstaining.
Abbreviations
Receptor activator of NF-kB (RANK) and its Ligand (RANKL).
Epstein Barr Virus (EBV).
Nasopharyngeal carcinoma (NPC).
Author contributions
Study concept by dr. Bossi. All authors partecipated in the writing and review of the paper. Dr. Quattrone, Dr. Dominoni and Dr. Garzone were involved in the staining and evaluation of the spacimens.
CONFLICTS OF INTEREST
There is no conflicts of interest that authors should disclose.
REFERENCES
1. Stewart BW, Wild CP. World Cancer Report 2014; 2014. https://doi.org/9283204298.
2. Lee AW, Ma BB, Ng WT, Chan AT. Management of nasopharyngeal carcinoma: current practice and future perspective. J Clin Oncol. 2015;33:3356-3364. https://doi.org/10.1200/JCO.2015.60.9347.
3. Cvitkovic BE, Bachouchi M, Boussen H, Busson P, Rousselet G, Mahjoubi R, Flores P, Tursz T, Armand JP, Azli N. Leukemoid reaction, bone marrow invasion, fever of unknown origin, and metastatic pattern in the natural history of advanced undifferentiated carcinoma of nasopharyngeal type: a review of 255 consecutive cases. J Clin Oncol. 1993;11:2434-2442.
4. Ahmad A, Stefani S. Distant metastases of nasopharyngeal carcinoma: a study of 256 male patients. J Surg Oncol. 1986;33:194-197.
5. Raab-Traub N. Epstein-Barr virus in the pathogenesis of NPC. In: Seminars in Cancer Biology. 2002; 12:431-441. https://doi.org/10.1016/S1044579X0200086X.
6. Lau KM, Cheng SH, Lo KW, Lee SA, Woo JK, van Hasselt CA, Lee SP, Rickinson AB, Ng MH. Increase in circulating Foxp3+CD4+CD25 (high) regulatory T cells in nasopharyngeal carcinoma patients. Br J Cancer. 2007;96:617-622. https://doi.org/10.1038/sj.bjc.6603580.
7. Lin CL, Lo WF, Lee TH, Ren Y, Hwang SL, Cheng YF, Chen CL, Chang YS, Lee SP, Rickinson AB, Tam PK. Immunization with Epstein-Barr Virus (EBV) peptide-pulsed dendritic cells induces functional CD8+ T-cell immunity and may lead to tumor regression in patients with EBV-positive nasopharyngeal carcinoma. Cancer Res. 2002;62:6952-6958.
8. Comoli P, Pedrazzoli P, Maccario R, Basso S, Carminati O, Labirio M, Schiavo R, Secondino S, Frasson C, Perotti C, Moroni M, Locatelli F, Siena S. Cell therapy of stage IV nasopharyngeal carcinoma with autologous Epstein-Barr virus-targeted cytotoxic T lymphocytes. J Clin Oncol. 2005;23:8942-8949. https://doi.org/10.1200/JCO.2005.02.6195.
9. Criscitiello C, Viale G, Gelao L, Esposito A, De Laurentiis M, De Placido S, Santangelo M, Goldhirsch A, Curigliano G. Crosstalk between bone niche and immune system: osteoimmunology signaling as a potential target for cancer treatment. Cancer Treat Rev. 2015;41:61-68. https://doi.org/10.1016/j.ctrv.2014.12.001.
10. Kukita A, Kukita T. Multifunctional properties of RANKL/RANK in cell differentiation, proliferation and metastasis. Future Oncol. 2013;9:1609-1622. https://doi.org/10.2217/fon.13.115.
11. Jones DH, Nakashima T, Sanchez OH, Kozieradzki I, Komarova SV, Sarosi I, Morony S, Rubin E, Sarao R, Hojilla CV, Komnenovic V, Kong YY, Schreiber M, et al. Regulation of cancer cell migration and bone metastasis by RANKL D. Nature. 2006;440:692-696. https://doi.org/10.1038/nature04524.
12. Santini D, Perrone G, Roato I, Godio L, Pantano F, Grasso D, Russo A, Vincenzi B, Fratto ME, Sabbatini R, Della Pepa C, Porta C, Del Conte A, et al. Expression pattern of receptor activator of NFκB (RANK) in a series of primary solid tumors and related bone metastases. J Cell Physiol. 2011;226:780-784. https://doi.org/10.1002/jcp.22402.
13. Santini D, Schiavon G, Vincenzi B, Gaeta L, Pantano F, Russo A, Ortega C, Porta C, Galluzzo S, Armento G, La Verde N, Caroti C, Treilleux I, et al. Receptor activator of NF-kB (rank) expression in primary tumors associates with bone metastasis occurrence in breast cancer patients. PLoS One. 2011;6:e19234. https://doi.org/10.1371/journal.pone.0019234.
14. Taylor R, Knowles HJ, Athanasou NA. Ewing sarcoma cells express RANKL and support osteoclastogenesis. J Pathol. 2011;225:195-202.
15. Won KY, Kalil RK, Kim YW, Park YK. RANK signalling in bone lesions with osteoclast-like giant cells. Pathology. 2011;43:318-321.
16. Zhao E, Wang L, Dai J, Kryczek I, Wei S, Vatan L, Altuwaijri S, Sparwasser T, Wang G, Keller ET, Zou W. Regulatory T cells in the bone marrow microenvironment in patients with prostate cancer. Oncoimmunology. 2012;1:152-161. https://doi.org/10.4161/onci.1.2.18480.
17. Tan W, Zhang W, Strasner A, Grivennikov S, Cheng JQ, Hoffman RM, Karin M. Tumour-infiltrating regulatory T cells stimulate mammary cancer metastasis through RANKL–RANK signalling. Nature. 2011;470:548-553. https://doi.org/10.1038/nature09707.
18. Green EA, Choi Y, Flavell RA. Pancreatic lymph nodederived CD4(+)CD25(+) Treg cells: highly potent regulators of diabetes that require TRANCE-RANK signals. Immunity. 2002;16:183-191. http://dx.doi.org/10.1016/S1074-7613(02)00279-0.
19. Loser K, Mehling A, Loeser S, Apelt J, Kuhn A, Grabbe S, Schwarz T, Penninger JM, Beissert S. Epidermal RANKL controls regulatory T-cell numbers via activation of dendritic cells. Nat Med. 2006;12:1372-1379. http://dx.doi.org/10.1038/nm1518.
20. Smith MR, Saad F, Coleman R, Shore N, Fizazi K, Tombal B, Miller K, Sieber P, Karsh L, Damião R, Tammela TL, Egerdie B, Van Poppel H. Denosumab and bone-metastasis-free survival in men with castration-resistant prostate cancer: results of a phase 3, randomised, placebo-controlled trial. Lancet. 2012;379:39-46. https://doi.org/10.1016/S0140-6736(11)61226-9.
21. Bago-Horvath Z, Schmid K, Rössler F, Nagy-Bojarszky K, Funovics P, Sulzbacher I. Impact of RANK signalling on survival and chemotherapy response in osteosarcoma. Pathology. 2014;46:411-415. https://doi.org/10.1097.
22. Cheng ML, Fong L. Effects of RANKL-targeted therapy in immunity and cancer. Front Oncol. 2014;3:329. https://doi.org/10.3389/fonc.2013.00329.
23. Gnant M, Pfeiler G, Dubsky PC, Hubalek M, Greil R, Jakesz R, Wette V, Balic M, Haslbauer F, Melbinger-Zeinitzer E, Bjelic-Radisic V, Artner-Matuschek S, Fitzal F, et al. The impact of adjuvant denosumab on disease-free survival: results from 3,425 postmenopausal patients of the ABCSG-18 trial, 2015 San Antonio Breast Cancer Symposium Publication Number: S2-02; 2015.
24. Smyth MJ, Yagita H, McArthur GA. Combination anti-CTLA-4 and anti-RANKL in metastatic melanoma. J Clin Oncol. 2016;34:e104-106. https://doi.org/10.1200/JCO.2013.51.3572.
25. Lau KM, Cheng SH, Lo KW, Lee SA, Woo JK, van Hasselt CA, Lee SP, Rickinson AB, Ng MH. Increase in circulating Foxp3+CD4+CD25(high) regulatory T cells in nasopharyngeal carcinoma patients. Br J Cancer. 2007;96:617-622. https://doi.org/10.1038/sj.bjc.6603580.
26. Zhao E, Wang L, Dai J, Kryczek I, Wei S, Vatan L, Altuwaijri S, Sparwasser T, Wang G, Keller ET, Zou W. Regulatory T cells in the bone marrow microenvironment in patients with prostate cancer. Oncoimmunology. 2012;1:152-161. https://doi.org/10.4161/onci.1.2.18480.