INTRODUCTION
Systemic lupus erythematosus (SLE) is an autoimmune disease with a strong genetic component [1]. With the development of genome-wide association studies (GWAS), 62 loci have been correlated with susceptibility to SLE [2], which has improved our understanding of the genetic basis of SLE, especially for implicating newer layers of pathways involved in disease pathogenesis [3]. One such pathway is autophagy, which implies a common biological pathway in both autoimmune and autoinflammatory diseases [4, 5].
Autophagy is an endogenous process by which the cell can remove long-lived proteins and damaged organelles through lysosomal degradation. Autophagy has been suggested to be involved in the activation of both innate and adaptive immunity [6]. Previous studies have identified genetic variants within or near ATG5 (a key autophagy gene required for the formation of autophagosome) by GWAS from SLE patient samples, suggesting that autophagy may be involved in SLE pathogenesis [7, 8]. Furthermore, several other autophagy genes have been identified as susceptibility genes for SLE by recent genetic studies, including ATG7, IRGM, DRAM1, CDKN1B, MTMR3, and APOL1 [4, 9–12]. However, our understanding of the link between genotype and autophagy in SLE is still on the horizon. Therefore, the detection of more susceptibility loci will enhance this link, and such endeavors may be centered on novel association signal especially for function signal.
As is the case for many immune diseases, associated autophagy-related genes have been identified by GWAS, such as NUPR1 [13, 14], IRGM [15], CCL2 [16], LRRK2 [17], MTMR3 [18], IL23R [19–21], and NOD2 [22]. Considering the common biological role of autophagy in immune diseases [5, 23, 24], shared genetic studies would be helpful for the validation of associations between these autophagy-related genes and autophagy in SLE. In the present study, we integrated multiple gene annotation datasets, including Haploreg [25], RegulomeDB [26], rSNPBase [27], Blood eQTL [28], and ArrayExpress Archive database [29], to prioritize the plausible functional single nucleotide polymorphisms (SNPs) and genes of the associated SNPs because most of the SLE-associated variants are located in non-coding regions of the genome.
RESULTS
Allele association analyses
Seven SNPs within autophagy-related genes previously reported as showing top association signals by GWAS in immune diseases were selected for analysis. A total of 510 patients with SLE (33.7 ± 13.32 years; female/male ratio 6:1) and 631 healthy controls (31.97 ± 8.56 years) were included in analysis. After quality control, one SLE patient and the rs10521209 SNP within NOD2 were excluded for low genotype rate (< 95%). The remaining 6 SNPs (Table 1) were in Hardy-Weinberg equilibrium in both patients and controls (P > 0.05). A second cohort containing 511 SLE patients (32.23 ± 11.85 years; female ratio 7:1) and 687 controls (32.70 ± 8.13 years) were enrolled for validation purposes.
Table 1: Association of immune disease susceptibility autophagy-related genes with systemic lupus erythematosus
SNP |
Chr. |
Position (hg38) |
Candidate Gene |
Minor Allele |
MAF (Case/Control, %) |
P |
OR (95% CI) |
Ref. |
|---|---|---|---|---|---|---|---|---|
rs2201841 |
1 |
67228519 |
IL23R |
T |
29.47/28.37 |
0.56 |
1.06 |
|
rs11747270 |
5 |
150879305 |
IRGM |
G |
46.56/43.42 |
0.13 |
1.14 |
[15] |
rs2638272 |
12 |
40216081 |
LRRK2 |
G |
36.74/31.85 |
1.44 × 10–2 |
1.24 (1.04–1.48) |
[17] |
rs4788084 |
16 |
28528527 |
NUPR1 |
T |
26.52/27.10 |
0.76 |
0.97 |
|
rs991804 |
17 |
34260706 |
CCL2 |
C |
41.55/39.54 |
0.33 |
1.09 |
[16] |
rs2412973 |
22 |
30133642 |
MTMR3 |
A |
36.74/39.38 |
0.20 |
0.89 |
[18] |
1. Only associations with statistical significance are presented with 95% CI for ORs.
Abbreviations: 2. Chr: chromosome; MAF: minor allele frequency; OR: odds ratio; Ref: reference; SNP: single nucleotide polymorphism.
Of the 6 SNPs previously reported to be associated with immune diseases, only rs2638272 in the LRRK2 gene was observed to be associated with SLE in the first patient population (rs2638272G with P = 1.14 × 10–2; OR 1.24 (95% CI 1.04–1.48) (Table 1). The association between rs2638272 and SLE was marginally replicated (P < 0.1) in our second independent population and was reinforced by a meta-analysis (P = 2.82 × 10–3). Interestingly, the association between rs2638272 and SLE remained significant after multiple corrections (corrected P = 1.69 × 10–2 using the Bonferroni method on 6 SNPs) (Table 2). To detect a genetic association between rs2638272 and susceptibility to SLE (OR 1.3), a statistical power calculation was utilized and resulted in 85.1% for the combined set of 1020 SLE cases and 1318 control.
Table 2: Independent replication and meta-analysis of the associated variant in systemic lupus erythematosus

Abbreviations: 1. MAF: minor allele frequency; OR: odds ratio; SNP: single nucleotide polymorphism.
Functional SNP prediction and validation
In addition to SNP rs2638272, 29 proxy SNPs (r2 > 0.8) in LRRK2 gene were extracted, resulting in 30 candidate SNPs for functional annotation. The 30 SNPs showed regulatory effects in the Haploreg v4.1 database: 8 variants were found within regions of promoter histone marks, 18 in regions of enhancer histone marks, 8 in regions of DNase-I hypersensitivity, 2 in regions of protein binding, and 26 in regulatory motif regions in more than one cell type. All proxy SNPs were found in regions of expression quantitative trait loci (eQTL) (Supplementary Table 1). Among the 30 candidate SNPs, rs1491941 showed the most functional hits (44 hits), suggesting it may be the disease-causing variant. In the RegulomeDB database, rs1491941 showed the highest score for regulatory effect (3a, TF binding + any motif + DNase peak) among the candidate SNPs (Table 3). Additionally, rs1491941 was regarded as the regulatory SNP using the rSNPBase database, showing proximal/distal regulation and RNA binding protein mediated regulation effects. The concordance of peaks in rs1491941 suggested that this SNP is likely to influence SLE through mechanisms that regulate LRRK2 gene expression.
Table 3: Detailed annotation information of the SLE-associated single nucleotide polymorphism rs2638272 and its proxies

Abbreviations: 1. ASN: Asian; eQTL: expression quantitative locus; GTEx: The genotype-tissue expression; rSNP: regulatory single nucleotide polymorphism; SLE: systemic lupus erythematosus; SNP: single nucleotide polymorphism.
2. GTEx pilot analysi (PMID: 25954001), Blood eQTL (PMID: 24013639).
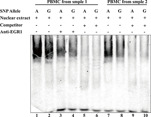
To validate the allele-specific binding affinity of transcription factors to rs1491941, we performed a DNA electrophoretic mobility shift assay (EMSA) using nuclear extracts from peripheral blood mononuclear cells (PBMCs). An increase of transcription factor binding affinity was observed in the rs1491941 A-allele compared with the G-allele (Figure 1); this result was validated independently. In both the Haploreg and RegulomeDB databases, the nuclear protein EGR1 was predicted to bind to rs1491941. However, we performed a supershift assay to examine the binding of EGR1 to rs1491941 but failed to detect a significant shift (Figure 1). Nonetheless, the higher binding affinity for nuclear proteins in the rs1491941 A-allele should increase the transcriptional activity of LRRK2.

Figure 1: Differential binding affinity of transcriptional factors for the alleles A and G of rs1491941 by electrophoretic mobility shift assay. In sample 1, binding affinity of nuclear extract was seen in the order of A > G. Unlabeled probes in 40-fold excess as compared to the labeled probes were used for the competition experiment. Although no significant shift was detected in supershift assays using EGR1 antibody for nuclear extract, the differential binding of unknown nuclear proteins was validated in an independent sample. SNP: single nucleotide polymorphism.
Gene expression analyses
We examined lymphoblastoid cell lines from HapMap3 individuals and showed that the A-allele of rs1491941 was associated with an increase of LRRK2 expression (AA 8.32 + 0.76 among 189 individuals vs. AG 8.24 + 0.79 among 197 individuals vs. GG 8.19 + 0.86 among 48 individuals). However, no significant association between the rs1456896 A-allele and increased LRRK2 expression was detected (P = 0.21), which may due to the small sample size. By searching the Blood eQTL database, which contains data from 5,311 individuals, a significant associated between the rs1491941 A-allele and higher LRRK2 transcription levels was detected (P = 5.68 × 10–8, Z score = 5.43). Furthermore, the cis-eQTL effect of rs1491941 has been observed in different gene expression profile databases embedded in Haploreg v4.1 (P value ranges from 9.04 × 10–6 to 2.56 × 10–10) (Table 3). Notably, the eQTL effects of rs1491941 were consistently observed in SLE patient blood samples.
We observed that LRRK2 mRNA expression was significantly up-regulated in SLE PBMC compared with normal donor controls (mean + SD normalized fluorescence intensity 2893.56 + 1162.33 among 61 SLE patients versus 1886.76 + 535.16 among 20 normal donor controls; p = 1.42 × 10–6) (Figure 2).

Figure 2: Differential gene expression analysis of LRRK2 in systemic lupus erythematosus patients and controls. The figure presents the LRRK2 expression levels in peripheral blood mononuclear cells from 61 SLE patients and 20 normal donor controls (E-GEOD-50772). The expression data of LRRK2 was captured from ArrayExpress Archive database (http://www.ebi.ac.uk/arrayexpress/). SLE: systemic lupus erythematosus.
DISCUSSION
LRRK2, encoding the leucine-rich repeat kinase 2, has been reported to play a role in the autophagy-lysosome pathway [30, 31]. Multiple layers of evidence have suggested that dysfunction of LRRK2 in the immune system may be a central component for the development of immune diseases. For example, increased LRRK2 expression has been observed in inflamed colonic tissues from patients with Crohn’s disease [32]. Furthermore, an analysis of experimental colitis in LRRK2 KO animals revealed exacerbated disease severity compared with normal animals [33]. Functional studies have suggested that silencing of endogenous LRRK2 expression results in defects in the induction of autophagy, demonstrating the critical role of endogenous LRRK2 in regulating autophagy [30]. We observed an increase of LRRK2 mRNA expression in the presence of SNP rs1491941 (A-allele) located in the 3′-UTR of LRRK2. In addition, higher LRRK2 expression levels were observed in SLE patients compared with controls. These findings were consistent with the observation that up-regulated autophagy was observed in both B cells and macrophages in SLE patients [34]. In mice with a lupus-like disease induced by transfer of activated lymphocyte derived DNA, inhibition of macrophageinduced autophagy leads to decreased B-cell maturation and reduced production of dsDNA [35].
However, there are two limitations to the current study. First, we only examined 7 autophagy-related genes that were previously reported to be associated with immune-related diseases by GWAS. Thus, we were not able to systematically assess the genetic contributions of autophagy in SLE. Second, autophagy may exert both beneficial and harmful effects on immunity and inflammation. Although the results from the current study suggest a protective effect of autophagy in the pathogenesis of SLE, additional functional studies are needed to further examine the underlying mechanisms.
In summary, by shared genetic analyses, we have identified a novel genetic association between the variant rs2638272 and susceptibility to SLE. Furthermore, by integrating layers of functional data, we derived the disease-cause variant rs1491941 and revealed a beneficial role of autophagy-related gene LRRK2 in the pathogenesis of SLE. These results would help broaden our understanding of genetic contributions of autophagy in SLE.
MATERIALS AND METHODS
Patients and controls
We recruited 1021 patients with sporadic SLE (diagnosed from 2003 to 2011) and 1318 age-, geographically-matched unrelated controls during the same period from Northern China. All patients fulfilled the criteria of American College of Rheumatology for SLE [36]. All participants provided an informed consent form. The study was approved by the Medical Ethics Committee of Peking University.
SNP selection and genotyping
In total, 7 SNPs, including rs4788084 in NUPR1 [13, 14], rs11747270 in IRGM [15], rs991804 in CCL2 [16], rs2638272 in LRRK2 [17], rs2412973 in MTMR3 [18], rs2201841 in IL23R [19–21], and rs10521209 in NOD2 [22] were included. Genotyping was conducted using TaqMan allele discrimination assays (Applied Biosystems, Foster City, California, USA).
Bioinformatic analyses
To prioritize the functional SNPs, we first extracted the proxies (r2 > 0.8; 1000 Genome project, Asian population was used as reference) for the significantly replicated SNPs using HaploReg v4.1 database (http://www.broadinstitute.org/mammals/haploreg/haploreg.php), which formed the candidate SNPs. Then rSNPBase (http://rsnp.psych.ac.cn/) and RegulomeDB databases (http://www.regulomedb.org/) were searched to examine the regulatory effects of the candidate SNPs. rSNPBase was used to search for regulatory SNPs with experimentally validated regulatory elements controlling transcriptional and post-transcriptional events, whereas, RegulomeDB was used to search for the regulatory scores of SNPs according to their amount of regulatory information (Supplementary Table 2).
The eQTL mapping data in Haploreg v4.1, which includes various eQTL studies, was used for prioritization of the replicated SNPs. Differential gene expression was checked in SLE (E-GEOD-50772) and compared with healthy controls from large-scale genome-wide gene expression analyses (ArrayExpress Archive database; http://www.ebi.ac.uk/arrayexpress/).
EMSA
For preparation of nuclear extract, the PBMCs from two unrelated healthy blood donors were isolated using lymphocyte separation solution (Ficoll, GE, USA). Then, nuclear extracts were derived from PBMCs using the Nuclear and Cytoplasmic Extraction Reagents Kit (Thermo, USA) according to the manufacturer’s instructions. Oligonucleotides (29 base pairs) were designed corresponding to genomic sequences surrounding SNP rs1491941. Single-stranded oligonucleotide probes were labeled using the DIG Gel Shift Kit (Roach, Germany), and sense and antisense oligonucleotides were then annealed. DNA-protein interactions were detected by using a DIG Gel Shift Kit (Roach, Germany) according to the manufacturer’s instructions. EGR 1 antibody (ab55160, abcam, USA) was used for supershift analysis. The DNA-protein complexes were separated on a non-denaturing 5% polyacrylamide gel in 0.5 × Tris-borate-EDTA (TBE) running buffer for 120 min at 50 V. The gel was transferred to a nitrocellulose membrane, and signals were detected using a LAS-4000 Image analyzer (GE, USA).
Statistical analyses
Only SNPs and individuals meeting the quality control criteria of less than 5% overall missing data were included. Testing for deviations from Hardy-Weinberg equilibrium (HWE) was conducted using a χ2 goodness-of-fit test separately for cases and controls in different cohorts. Allele frequencies were compared between cases and controls using the χ2 test. Statistical analyses were performed with SPSS 12.0 software (SPSS Inc., Chicago, IL). A two-tailed P value of less than 0.05 was considered statistically significant. Genetic power was estimated using the Power and Sample Size Calculations Version 3.0 (http://biostat.mc.vanderbilt.edu/PowerSampleSize) with a two-sided type I error rate of 0.05.
Abbreviations
Electrophoretic mobility shift assay (EMSA); expression quantitative trait loci (eQTL); genome-wide association studies (GWAS); Hardy-Weinberg equilibrium (HWE); peripheral blood mononuclear cells (PBMCs); single nucleotide polymorphisms (SNPs); systemic lupus erythematosus (SLE).
ACKNOWLEDGMENTS
We thank all colleagues for their support in this study. We also thank the patients and healthy volunteers who participated in this study.
CONFLICTS OF INTEREST
None.
FUNDING
This work was supported by the National Key Research and Development Program of China [grant number 2016YFC0904100]; the National Key Technology R&D Program [grant number 2013BAI09B14]; the Natural Science Foundation for Innovation Research Group of China [grant number 81321064]; the Natural Science Foundation for Excellent Young Scientists [grant number 813220065]; the National Science Foundation of China [grant numbers 81270795, 81470945, 81570629]; the Capital of Clinical Characteristics and the Applied Research Fund [grant number Z141107002514037]; the Beijing Municipal Science and Technology for the Outstanding PhD Program [grant number 20121000110]; the Beijing Natural Science Foundation [grant numbers 7131016, 7152148], and the Chinese Society of Nephrology [grant number 15020030591].
Authors’ contributions
YMZ, XJZ, and HZ conceived and designed the experiments. YMZ, FJC, PH, and YYQ performed the experiments. YMZ analyzed the data and wrote the manuscript. All authors reviewed the manuscript.
REFERENCES
1. Deng Y, Tsao BP. Genetic susceptibility to systemic lupus erythematosus in the genomic era. Nat Rev Rheumatol. 2010; 6:683–92
2. Morris DL, Sheng Y, Zhang Y, Wang YF, Zhu Z, Tombleson P, Chen L, Cunninghame Graham DS, Bentham J, Roberts AL, Chen R, Zuo X, Wang T, et al. Genome-wide association meta-analysis in Chinese and European individuals identifies ten new loci associated with systemic lupus erythematosus. Nat Genet. 2016; 48:940–6.
3. Harley IT, Kaufman KM, Langefeld CD, Harley JB, Kelly JA. Genetic susceptibility to SLE: new insights from fine mapping and genome-wide association studies. Nat Rev Genet. 2009; 10:285–90.
4. Zhou XJ, Lu XL, Lv JC, Yang HZ, Qin LX, Zhao MH, Su Y, Li ZG, Zhang H. Genetic association of PRDM1-ATG5 intergenic region and autophagy with systemic lupus erythematosus in a Chinese population. Ann Rheum Dis. 2011; 70:1330–7.
5. Zhou XJ, Zhang H. Autophagy in immunity: implications in etiology of autoimmune/autoinflammatory diseases. Autophagy. 2012; 8:1286–99.
6. Munz C. Enhancing immunity through autophagy. Annu Rev Immunol. 2009; 27:423–49.
7. Han JW, Zheng HF, Cui Y, Sun LD, Ye DQ, Hu Z, Xu JH, Cai ZM, Huang W, Zhao GP, Xie HF, Fang H, Lu QJ, et al. Genome-wide association study in a Chinese Han population identifies nine new susceptibility loci for systemic lupus erythematosus. Nat Genet. 2009; 41:1234–7.
8. International Consortium for Systemic Lupus Erythematosus G, Harley JB, Alarcon-Riquelme ME, Criswell LA, Jacob CO, Kimberly RP, Moser KL, Tsao BP, Vyse TJ, Langefeld CD, Nath SK, Guthridge JM, Cobb BL, et al. Genome-wide association scan in women with systemic lupus erythematosus identifies susceptibility variants in ITGAM, PXK, KIAA1542 and other loci. Nat Genet. 2008; 40:204–10.
9. Yang W, Tang H, Zhang Y, Tang X, Zhang J, Sun L, Yang J, Cui Y, Zhang L, Hirankarn N, Cheng H, Pan HF, Gao J, et al. Meta-analysis followed by replication identifies loci in or near CDKN1B, TET3, CD80, DRAM1, and ARID5B as associated with systemic lupus erythematosus in Asians. Am J Hum Genet. 2013; 92:41–51.
10. Zhou XJ, Cheng FJ, Zhang H. Emerging view of autophagy in systemic lupus erythematosus. Int Rev Immunol. 2015; 34:280–92.
11. Freedman BI, Langefeld CD, Andringa KK, Croker JA, Williams AH, Garner NE, Birmingham DJ, Hebert LA, Hicks PJ, Segal MS, Edberg JC, Brown EE, Alarcon GS, et al. End-stage renal disease in African Americans with lupus nephritis is associated with APOL1. Arthritis Rheumatol. 2014; 66:390–6.
12. Zhou XJ, Nath SK, Qi YY, Cheng FJ, Yang HZ, Zhang Y, Yang W, Ma JY, Zhao MH, Shen N, Zhang H. Brief Report: identification of MTMR3 as a novel susceptibility gene for lupus nephritis in northern Han Chinese by shared-gene analysis with IgA nephropathy. Arthritis Rheumatol. 2014; 66:2842–8.
13. Barrett JC, Clayton DG, Concannon P, Akolkar B, Cooper JD, Erlich HA, Julier C, Morahan G, Nerup J, Nierras C, Plagnol V, Pociot F, Schuilenburg H, et al. Genome-wide association study and meta-analysis find that over 40 loci affect risk of type 1 diabetes. Nat Genet. 2009; 41:703–7.
14. Plagnol V, Howson JM, Smyth DJ, Walker N, Hafler JP, Wallace C, Stevens H, Jackson L, Simmonds MJ, Type 1 Diabetes Genetics C, Bingley PJ, Gough SC, Todd JA. Genome-wide association analysis of autoantibody positivity in type 1 diabetes cases. PLoS Genet. 2011; 7:e1002216.
15. Barrett JC, Hansoul S, Nicolae DL, Cho JH, Duerr RH, Rioux JD, Brant SR, Silverberg MS, Taylor KD, Barmada MM, Bitton A, Dassopoulos T, Datta LW, et al. Genome-wide association defines more than 30 distinct susceptibility loci for Crohn’s disease. Nat Genet. 2008; 40:955–62.
16. McGovern DP, Jones MR, Taylor KD, Marciante K, Yan X, Dubinsky M, Ippoliti A, Vasiliauskas E, Berel D, Derkowski C, Dutridge D, Fleshner P, Shih DQ, et al. Fucosyltransferase 2 (FUT2) non-secretor status is associated with Crohn’s disease. Hum Mol Genet. 2010; 19:3468–76.
17. Umeno J, Asano K, Matsushita T, Matsumoto T, Kiyohara Y, Iida M, Nakamura Y, Kamatani N, Kubo M. Meta-analysis of published studies identified eight additional common susceptibility loci for Crohn’s disease and ulcerative colitis. Inflamm Bowel Dis. 2011; 17:2407–15.
18. Imielinski M, Baldassano RN, Griffiths A, Russell RK, Annese V, Dubinsky M, Kugathasan S, Bradfield JP, Walters TD, Sleiman P, Kim CE, Muise A, Wang K, et al. Common variants at five new loci associated with early-onset inflammatory bowel disease. Nat Genet. 2009; 41:1335–40.
19. Raelson JV, Little RD, Ruether A, Fournier H, Paquin B, Van Eerdewegh P, Bradley WE, Croteau P, Nguyen-Huu Q, Segal J, Debrus S, Allard R, Rosenstiel P, et al. Genome-wide association study for Crohn’s disease in the Quebec Founder Population identifies multiple validated disease loci. Proc Natl Acad Sci USA. 2007; 104:14747–52.
20. Nair RP, Duffin KC, Helms C, Ding J, Stuart PE, Goldgar D, Gudjonsson JE, Li Y, Tejasvi T, Feng BJ, Ruether A, Schreiber S, Weichenthal M, et al. Genome-wide scan reveals association of psoriasis with IL-23 and NF-kappaB pathways. Nat Genet. 2009; 41:199–204.
21. McGovern DP, Gardet A, Torkvist L, Goyette P, Essers J, Taylor KD, Neale BM, Ong RT, Lagace C, Li C, Green T, Stevens CR, Beauchamp C, et al. Genome-wide association identifies multiple ulcerative colitis susceptibility loci. Nat Genet. 2010; 42:332–7.
22. Franke A, Hampe J, Rosenstiel P, Becker C, Wagner F, Hasler R, Little RD, Huse K, Ruether A, Balschun T, Wittig M, Elsharawy A, Mayr G, et al. Systematic association mapping identifies NELL1 as a novel IBD disease gene. PLoS One. 2007; 2:e691.
23. Rockel JS, Kapoor M. Autophagy: controlling cell fate in rheumatic diseases. Nat Rev Rheumatol. 2016.
24. Zhernakova A, van Diemen CC, Wijmenga C. Detecting shared pathogenesis from the shared genetics of immune-related diseases. Nat Rev Genet. 2009; 10:43–55.
25. Ward LD, Kellis M. HaploReg: a resource for exploring chromatin states, conservation, and regulatory motif alterations within sets of genetically linked variants. Nucleic Acids Res. 2012; 40:D930–4.
26. Boyle AP, Hong EL, Hariharan M, Cheng Y, Schaub MA, Kasowski M, Karczewski KJ, Park J, Hitz BC, Weng S, Cherry JM, Snyder M. Annotation of functional variation in personal genomes using RegulomeDB. Genome Res. 2012; 22:1790–7.
27. Guo L, Du Y, Chang S, Zhang K, Wang J. rSNPBase: a database for curated regulatory SNPs. Nucleic Acids Res. 2014; 42:D1033–9.
28. Westra HJ, Peters MJ, Esko T, Yaghootkar H, Schurmann C, Kettunen J, Christiansen MW, Fairfax BP, Schramm K, Powell JE, Zhernakova A, Zhernakova DV, Veldink JH, et al. Systematic identification of trans eQTLs as putative drivers of known disease associations. Nat Genet. 2013; 45:1238–43.
29. Kolesnikov N, Hastings E, Keays M, Melnichuk O, Tang YA, Williams E, Dylag M, Kurbatova N, Brandizi M, Burdett T, Megy K, Pilicheva E, Rustici G, et al. ArrayExpress update—simplifying data submissions. Nucleic Acids Res. 2015; 43:D1113–6.
30. Schapansky J, Nardozzi JD, Felizia F, LaVoie MJ. Membrane recruitment of endogenous LRRK2 precedes its potent regulation of autophagy. Hum Mol Genet. 2014; 23:4201–14.
31. Gan-Or Z, Dion PA, Rouleau GA. Genetic perspective on the role of the autophagy-lysosome pathway in Parkinson disease. Autophagy. 2015; 11:1443–57.
32. Gardet A, Benita Y, Li C, Sands BE, Ballester I, Stevens C, Korzenik JR, Rioux JD, Daly MJ, Xavier RJ, Podolsky DK. LRRK2 is involved in the IFN-gamma response and host response to pathogens. J Immunol. 2010; 185:5577–85.
33. Liu Z, Lee J, Krummey S, Lu W, Cai H, Lenardo MJ. The kinase LRRK2 is a regulator of the transcription factor NFAT that modulates the severity of inflammatory bowel disease. Nat Immunol. 2011; 12:1063–70.
34. Clarke AJ, Ellinghaus U, Cortini A, Stranks A, Simon AK, Botto M, Vyse TJ. Autophagy is activated in systemic lupus erythematosus and required for plasmablast development. Ann Rheum Dis. 2015; 74:912–20.
35. Li B, Yue Y, Dong C, Shi Y, Xiong S. Blockade of macrophage autophagy ameliorates activated lymphocytes-derived DNA induced murine lupus possibly via inhibition of proinflammatory cytokine production. Clin Exp Rheumatol. 2014; 32:705–14.
36. Hochberg MC. Updating the American College of Rheumatology revised criteria for the classification of systemic lupus erythematosus. Arthritis Rheum. 1997; 40:1725.