Oncotarget


Microsatellite stability and mismatch repair proficiency in nasopharyngeal carcinoma may not predict programmed death-1 blockade resistance


FOR IMMEDIATE RELEASE
2019-11-13

PET-CT scan revealed a space-occupying lesion in the left lung, and the pathologic result confirmed the occupying lesion originated from NPC. Meanwhile, both immunohistochemistry and PCR revealed that the occupying lesion belonged to pMMR NPC. We provide the first report that pembrolizumab has a confirmed objective response to microsatellite stability and pMMR NPC, and two biomarkers may not be sufficient to identify patients who might be resistant to such treatment in NPC.

Dr. Qin Lin from the Department of Radiation Oncology, Xiamen Cancer Hospital, The First Affiliated Hospital of Xiamen University, Teaching Hospital of Fujian Medical University, Xiamen, China said, "Although various radiotherapy options have a high cure rate in NPC, recurrence and distant metastasis remain key challenges."

Identifying, before initiation of treatment, which patients are most likely to experience clinical benefit from PD-1 blockade is particularly necessary in the management of tumours considering the expense and low response rates.

A study of the clinical efficacy and effectiveness of pembrolizumab demonstrated that, in patients with mismatch repair deficient colorectal cancer, the immune-related objective response rate was 40%, while the corresponding proportion was 0% in patients with pMMR CRC.

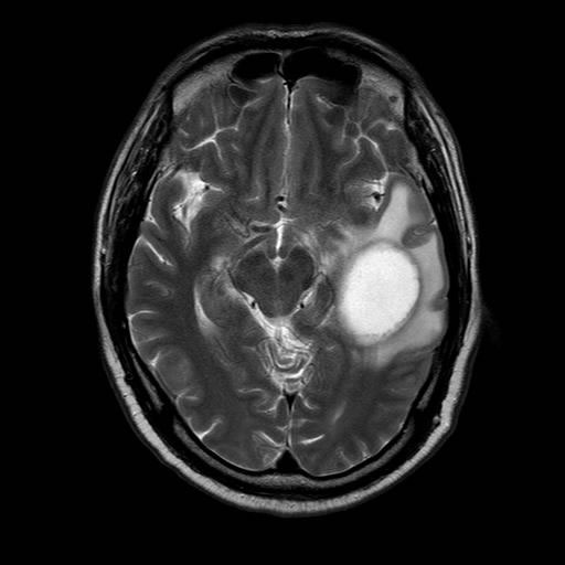
Figure 1: In September 2016, MR scan showed brain occupancy.

Figure 1: In September 2016, MR scan showed brain occupancy.

The response in patients with dMMR non-CRC was similar with that of patients with dMMR CRC.

In the 2017 American Society of Clinical Oncology meeting, it was reported that, of 86 patients with advanced dMMR cancers across 12 different tumour types, the objective radiographic response rate of patients to anti-PD-1 antibody was 53%.

The Lin Research Team concluded, "our case report indicates that MSS and pMMR may not reflect resistance to anti-PD-1 therapy in NPC, high-dose radiation therapy before treatment and the expression of PD-L1 in tumour cells may contribute to predicting the response to such treatment. Further research is warranted to explore more precise biomarkers for different tumours."

Full text - https://doi.org/10.18632/oncotarget.22938

Correspondence to - Qin Lin - [email protected]

Keywords - Nasopharyngeal carcinoma, Anti-programmed death-1 antibody, Microsatellite instability-high, Mismatch repair proficiency



Copyright © 2026 Rapamycin Press LLC dba Impact Journals
Oncotarget ® is a registered trademark of Rapamycin Press LLC
Impact Journals ® is a registered trademark of Rapamycin Press LLC
RAPAMYCIN PRESS ® is a registered trademark of Rapamycin Press LLC