Oncotarget


Oncotarget: Metastatic clear cell renal carcinoma treated with surgery and Cabozantinib


FOR IMMEDIATE RELEASE
2020-05-22

Volume 11, Issue 20 of @Oncotarget reported that the aim of this article is to describe the case of metastatic recurrent RCC with sarcomatoid dedifferentiation in a 59-year-old male patient treated with nephrectomy and multiple metastasectomies followed by Cabozantinib.

Surgery for metastases followed by Cabozantinib may be a therapeutic option in metastatic young patients.

Dr. Johnny Boustany from The Notre Dame des Secours University Hospital Center (CHUNDS) as well as The Holy Spirit University of Kaslik (USEK) said, "Renal cell carcinoma (RCC) accounts for 3% of all adult cancers."

"Renal cell carcinoma (RCC) accounts for 3% of all adult cancers"

- Dr. Johnny Boustany, The Notre Dame des Secours University Hospital Center (CHUNDS) and The Holy Spirit University of Kaslik (USEK)

Forty percent of patients with RCC with sarcomatoid dedifferentiation present with high pathologic stage disease, as well, 40% of these patients have metastatic disease at the time of diagnosis.

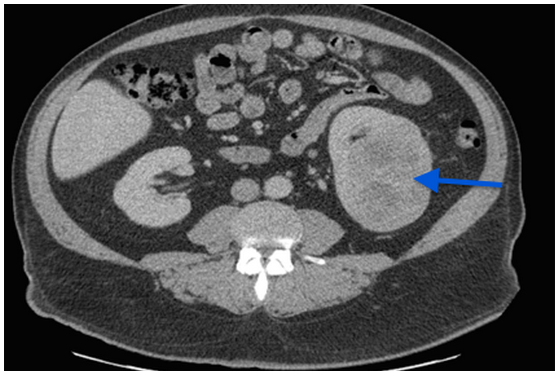
Figure 1: A CT scan image showing a 7 cm left kidney mass.

Figure 1: A CT scan image showing a 7 cm left kidney mass.

The aim of this article is to share their experience with a patient who is in complete remission from Metastatic clear cell renal carcinoma with sarcomatoid dedifferentiation under cabozantinib after two surgical interventions to excise all the metastases.

The Boustany Research Team concluded in their Oncotarget Case Report that in this case, the use of cabozantinib after Sunitinib failure was successful, but they think that it is the metastasectomy who had a benefic effect on disease-free survival of our patient without any recurrence under cabozantinib.

Sign up for free Altmetric alerts about this article

DOI - https://doi.org/10.18632/oncotarget.27543

Full text - https://www.oncotarget.com/article/27543/text/

Correspondence to - Johnny Boustany - [email protected]

Keywords - clear cell renal carcinoma, sarcomatoid dedifferentiation, metastasectomy, cabozantinib

About Oncotarget

Oncotarget is a biweekly, peer-reviewed, open access biomedical journal covering research on all aspects of oncology.

To learn more about Oncotarget, please visit https://www.oncotarget.com or connect with:

SoundCloud - https://soundcloud.com/oncotarget
Facebook - https://www.facebook.com/Oncotarget/
Twitter - https://twitter.com/oncotarget
LinkedIn - https://www.linkedin.com/company/oncotarget
Pinterest - https://www.pinterest.com/oncotarget/
Reddit - https://www.reddit.com/user/Oncotarget/

Oncotarget is published by Impact Journals, LLC please visit http://www.ImpactJournals.com or connect with @ImpactJrnls

Media Contact
[email protected]
18009220957x105



Copyright © 2026 Rapamycin Press LLC dba Impact Journals
Oncotarget ® is a registered trademark of Rapamycin Press LLC
Impact Journals ® is a registered trademark of Rapamycin Press LLC
RAPAMYCIN PRESS ® is a registered trademark of Rapamycin Press LLC